Antibody data
- Antibody Data
- Antigen structure
- References [0]
- Comments [0]
- Validations
- Immunohistochemistry [3]
Submit
Validation data
Reference
Comment
Report error
- Product number
- ABIN2727837 - Provider product page

- Provider
- antibodies-online
- Product name
- anti-Nucleoredoxin-Like 2 (NXNL2) antibody
- Antibody type
- Monoclonal
- Description
- Purified from mouse ascites fluids by affinity chromatography
- Reactivity
- Human, Simian
- Host
- Mouse
- Isotype
- IgG
- Antibody clone number
- 3A12
- Vial size
- 0.1 mL
No comments: Submit comment
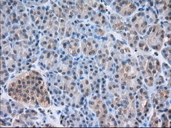
Supportive validation
- Submitted by
- antibodies-online (provider)
- Main image

- Experimental details
- IHC
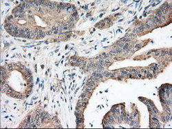
- Submitted by
- antibodies-online (provider)
- Main image

- Experimental details
- IHC
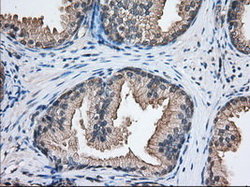
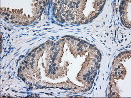
- Submitted by
- antibodies-online (provider)
- Main image

- Experimental details
- IHC