Antibody data
- Antibody Data
- Antigen structure
- References [0]
- Comments [0]
- Validations
- Immunohistochemistry [1]
Submit
Validation data
Reference
Comment
Report error
- Product number
- GTX86976 - Provider product page

- Provider
- GeneTex
- Proper citation
- GeneTex Cat#GTX86976, RRID:AB_10733703
- Product name
- RIMS4 antibody
- Antibody type
- Polyclonal
- Reactivity
- Human, Mouse, Rat
- Host
- Rabbit
No comments: Submit comment
Supportive validation
- Submitted by
- GeneTex (provider)
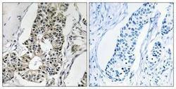
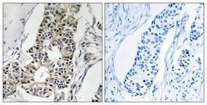
- Main image

- Experimental details
- Immunohistochemistry analysis of paraffin-embedded human breast carcinoma tissue, using RIMS4 Antibody. The picture on the right is treated with the synthesized peptide.