Antibody data
- Antibody Data
- Antigen structure
- References [7]
- Comments [0]
- Validations
- Western blot [1]
- Immunohistochemistry [1]
Submit
Validation data
Reference
Comment
Report error
- Product number
- AF952 - Provider product page

- Provider
- Novus Biologicals
- Product name
- Goat Polyclonal Cathepsin L Antibody
- Antibody type
- Polyclonal
- Description
- Antigen Affinity-purified. Detects human Cathepsin L in ELISAs and Western blots. In sandwich immunoassays, less than 0.2% cross-reactivity with recombinant mouse Cathepsin L, recombinant human (rh) Cathepsin A, rhCathepsin B, rhCathepsin C, rhCathepsin D, rhCathepsin E, rhCathepsin S, and rhCathepsin V is observed.
- Reactivity
- Human
- Host
- Goat
- Conjugate
- Unconjugated
- Isotype
- IgG
- Vial size
- 100 ug
- Concentration
- LYOPH
- Storage
- Use a manual defrost freezer and avoid repeated freeze-thaw cycles. 12 months from date of receipt, -20 to -70 degreesC as supplied. 1 month, 2 to 8 degreesC under sterile conditions after reconstitution. 6 months, -20 to -70 degreesC under sterile conditions after reconstitution.
Submitted references A genome-wide CRISPR screen identifies N-acetylglucosamine-1-phosphate transferase as a potential antiviral target for Ebola virus.
The lysosomal protein cathepsin L is a progranulin protease.
The Unusual Resistance of Avian Defensin AvBD7 to Proteolytic Enzymes Preserves Its Antibacterial Activity.
Neutrophilic Cathepsin C Is Maturated by a Multistep Proteolytic Process and Secreted by Activated Cells during Inflammatory Lung Diseases.
Simvastatin inhibits glucose metabolism and legumain activity in human myotubes.
Cystatin E/M suppresses legumain activity and invasion of human melanoma.
Distinct roles for cysteine cathepsin genes in multistage tumorigenesis.
Flint M, Chatterjee P, Lin DL, McMullan LK, Shrivastava-Ranjan P, Bergeron É, Lo MK, Welch SR, Nichol ST, Tai AW, Spiropoulou CF
Nature communications 2019 Jan 17;10(1):285
Nature communications 2019 Jan 17;10(1):285
The lysosomal protein cathepsin L is a progranulin protease.
Lee CW, Stankowski JN, Chew J, Cook CN, Lam YW, Almeida S, Carlomagno Y, Lau KF, Prudencio M, Gao FB, Bogyo M, Dickson DW, Petrucelli L
Molecular neurodegeneration 2017 Jul 25;12(1):55
Molecular neurodegeneration 2017 Jul 25;12(1):55
The Unusual Resistance of Avian Defensin AvBD7 to Proteolytic Enzymes Preserves Its Antibacterial Activity.
Bailleul G, Kravtzoff A, Joulin-Giet A, Lecaille F, Labas V, Meudal H, Loth K, Teixeira-Gomes AP, Gilbert FB, Coquet L, Jouenne T, Brömme D, Schouler C, Landon C, Lalmanach G, Lalmanach AC
PloS one 2016;11(8):e0161573
PloS one 2016;11(8):e0161573
Neutrophilic Cathepsin C Is Maturated by a Multistep Proteolytic Process and Secreted by Activated Cells during Inflammatory Lung Diseases.
Hamon Y, Legowska M, Hervé V, Dallet-Choisy S, Marchand-Adam S, Vanderlynden L, Demonte M, Williams R, Scott CJ, Si-Tahar M, Heuzé-Vourc'h N, Lalmanach G, Jenne DE, Lesner A, Gauthier F, Korkmaz B
The Journal of biological chemistry 2016 Apr 15;291(16):8486-99
The Journal of biological chemistry 2016 Apr 15;291(16):8486-99
Simvastatin inhibits glucose metabolism and legumain activity in human myotubes.
Smith R, Solberg R, Jacobsen LL, Voreland AL, Rustan AC, Thoresen GH, Johansen HT
PloS one 2014;9(1):e85721
PloS one 2014;9(1):e85721
Cystatin E/M suppresses legumain activity and invasion of human melanoma.
Briggs JJ, Haugen MH, Johansen HT, Riker AI, Abrahamson M, Fodstad Ø, Maelandsmo GM, Solberg R
BMC cancer 2010 Jan 15;10:17
BMC cancer 2010 Jan 15;10:17
Distinct roles for cysteine cathepsin genes in multistage tumorigenesis.
Gocheva V, Zeng W, Ke D, Klimstra D, Reinheckel T, Peters C, Hanahan D, Joyce JA
Genes & development 2006 Mar 1;20(5):543-56
Genes & development 2006 Mar 1;20(5):543-56
No comments: Submit comment
Supportive validation
- Submitted by
- Novus Biologicals (provider)
- Main image

- Experimental details
- Detection of Recombinant Human Cathepsin L by Western Blot. Western blot shows 10 ng of Recombinant Human Cathepsin L (Catalog # 952-CY), Recombinant Mouse Cathepsin L (Catalog # 1515-CY), Recombinant Human Cathepsin V (Catalog # 1080-CY), Recombinant Human Cathepsin K, Recombinant Human Cathepsin S (Catalog # 1183-CY), Recombinant Human Cathepsin H (Catalog # 7516-CY), and Recombinant Human Cathepsin F. PVDF Membrane was probed with 0.1 µg/mL of Goat Anti-Human Cathepsin L Antigen Affinity-purified Polyclonal Antibody (Catalog # AF952) followed by HRP-conjugated Anti-Goat IgG Secondary Antibody (Catalog # HAF109). A specific band was detected for Cathepsin L at approximately 35 kDa (as indicated). This experiment was conducted under reducing conditions and using Immunoblot Buffer Group 3.
Supportive validation
- Submitted by
- Novus Biologicals (provider)
- Main image

- Experimental details
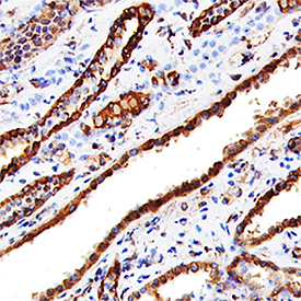
- Cathepsin L in Human Kidney. Cathepsin L was detected in immersion fixed paraffin-embedded sections of human kidney using Goat Anti-Human Cathepsin L Antigen Affinity-purified Polyclonal Antibody (Catalog # AF952) at 15 µg/mL overnight at 4 °C. Tissue was stained using the Anti-Goat HRP-DAB Cell & Tissue Staining Kit (brown; Catalog # CTS008) and counterstained with hematoxylin (blue). Specific staining was localized to convoluted tubules. View our protocol for Chromogenic IHC Staining of Paraffin-embedded Tissue Sections.