Antibody data
- Antibody Data
- Antigen structure
- References [0]
- Comments [0]
- Validations
- Western blot [1]
- Immunohistochemistry [1]
- Flow cytometry [1]
Submit
Validation data
Reference
Comment
Report error
- Product number
- AP54404PU-N - Provider product page

- Provider
- Acris Antibodies GmbH
- Proper citation
- Acris Antibodies GmbH Cat#AP54404PU-N, RRID:AB_11142800
- Product name
- anti TTC9C (N-term)
- Antibody type
- Polyclonal
- Antigen
- KLH conjugated synthetic peptide between 4-33 amino acids from the N-terminal region of human TTC9C
- Reactivity
- Human
- Host
- Rabbit
- Vial size
- 0.4 ml
- Concentration
- lot specific
No comments: Submit comment
Supportive validation
- Submitted by
- Acris Antibodies GmbH (provider)
- Main image

- Experimental details
- TTC9C Antibody (N-term) (AP54404PU-N) western blot analysis in Ramos cell line lysates (35 µg/lane). This demonstrates the TTC9C antibody detected the TTC9C protein (arrow).
Supportive validation
- Submitted by
- Acris Antibodies GmbH (provider)
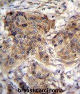
- Main image

- Experimental details
- TTC9C Antibody (N-term) (AP54404PU-N)immunohistochemistry analysis in formalin fixed and paraffin embedded human breast carcinoma followed by peroxidase conjugation of the secondary antibody and DAB staining. This data demonstrates the use of TTC9C Antibody (N-term) for immunohistochemistry. Clinical relevance has not been evaluated.
Supportive validation
- Submitted by
- Acris Antibodies GmbH (provider)
- Main image

- Experimental details
- TTC9C Antibody (N-term) (AP54404PU-N) flow cytometric analysis of Ramos cells (right histogram) compared to a negative control cell (left histogram). FITC-conjugated goat-anti-rabbit secondary antibodies were used for the analysis.