Antibody data
- Antibody Data
- Antigen structure
- References [0]
- Comments [0]
- Validations
- Western blot [1]
- Immunohistochemistry [3]
Submit
Validation data
Reference
Comment
Report error
- Product number
- AP22671PU-N - Provider product page

- Provider
- Acris Antibodies GmbH
- Proper citation
- Acris Antibodies GmbH Cat#AP22671PU-N, RRID:AB_10842506
- Product name
- anti SLITRK4 (N-term)
- Antibody type
- Polyclonal
- Antigen
- SLITRK4 antibody was raised against 14 amino acid peptide from near the amino terminus of human Slitrk4
- Reactivity
- Human, Mouse, Rat
- Host
- Rabbit
- Vial size
- 50 µg
No comments: Submit comment
Supportive validation
- Submitted by
- Acris Antibodies GmbH (provider)
- Main image

- Experimental details
- Western blot analysis of Slitrk4 in mouse brain tissue lysate with Slitrk4 antibody (AP22671PU-N) at (A) 0.5 and (B) 1 µg/ml.
Supportive validation
- Submitted by
- Acris Antibodies GmbH (provider)
- Main image

- Experimental details
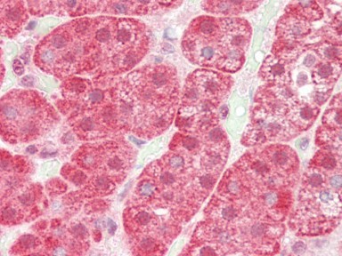
- Human Adrenal (formalin-fixed, paraffin-embedded) stained with SLITRK4 antibody AP22671PU-N at 5 µg/ml followed by biotinylated goat anti-rabbit IgG secondary antibody, alkaline phosphatase-streptavidin and chromogen.
- Submitted by
- Acris Antibodies GmbH (provider)
- Main image

- Experimental details
- Human Prostate (formalin-fixed, paraffin-embedded) stained with SLITRK4 antibody AP22671PU-N at 5 µg/ml followed by biotinylated goat anti-rabbit IgG secondary antibody, alkaline phosphatase-streptavidin and chromogen.
- Submitted by
- Acris Antibodies GmbH (provider)
- Main image

- Experimental details
- Human Thyroid (formalin-fixed, paraffin-embedded) stained with SLITRK4 antibody AP22671PU-N at 5 µg/ml followed by biotinylated goat anti-rabbit IgG secondary antibody, alkaline phosphatase-streptavidin and chromogen.