Antibody data
- Antibody Data
- Antigen structure
- References [1]
- Comments [0]
- Validations
- Western blot [2]
- Immunohistochemistry [5]
- Flow cytometry [1]
Submit
Validation data
Reference
Comment
Report error
- Product number
- NBP2-00812 - Provider product page

- Provider
- Novus Biologicals
- Product name
- Mouse Monoclonal Tubulin Beta 4 Antibody
- Antibody type
- Monoclonal
- Description
- Affinity purified.
- Reactivity
- Human, Mouse, Rat, Canine, Simian
- Host
- Mouse
- Isotype
- IgG
- Vial size
- 0.1 ml
- Concentration
- 1 mg/ml
- Storage
- Store at -20C. Avoid freeze-thaw cycles.
Submitted references Protective responses to sublytic complement in the retinal pigment epithelium.
Tan LX, Toops KA, Lakkaraju A
Proceedings of the National Academy of Sciences of the United States of America 2016 Aug 2;113(31):8789-94
Proceedings of the National Academy of Sciences of the United States of America 2016 Aug 2;113(31):8789-94
No comments: Submit comment
Supportive validation
- Submitted by
- Novus Biologicals (provider)
- Main image

- Experimental details
- Western Blot: Tubulin Beta 4 Antibody (3F1) [NBP2-00812] - HEK293T cells were transfected with the pCMV6-ENTRY control (Left lane) or pCMV6-ENTRY Tubulin Beta 4 (Right lane) cDNA for 48 hrs and lysed. Equivalent amounts of cell lysates (5 ug per lane) were separated by SDS-PAGE and immunoblotted with anti-Tubulin Beta 4.
- Submitted by
- Novus Biologicals (provider)
- Main image

- Experimental details
- Western Blot: Tubulin Beta 4 Antibody (3F1) [NBP2-00812] Analysis of extracts (35ug) from 9 different cell lines by using anti-Tubulin Beta 4 monoclonal antibody.
Supportive validation
- Submitted by
- Novus Biologicals (provider)
- Main image

- Experimental details
- Immunohistochemistry-Paraffin: Tubulin Beta 4 Antibody (3F1) [NBP2-00812] - Staining of paraffin-embedded Adenocarcinoma of Human ovary tissue using anti-Tubulin Beta 4 mouse monoclonal antibody.
- Submitted by
- Novus Biologicals (provider)
- Main image

- Experimental details
- Immunohistochemistry-Paraffin: Tubulin Beta 4 Antibody (3F1) [NBP2-00812] - Staining of paraffin-embedded Carcinoma of Human bladder tissue using anti-Tubulin Beta 4 mouse monoclonal antibody.
- Submitted by
- Novus Biologicals (provider)
- Main image

- Experimental details
- Immunohistochemistry-Paraffin: Tubulin Beta 4 Antibody (3F1) [NBP2-00812] - Staining of paraffin-embedded Carcinoma of Human liver tissue using anti-Tubulin Beta 4 mouse monoclonal antibody.
- Submitted by
- Novus Biologicals (provider)
- Main image

- Experimental details
- Immunohistochemistry-Paraffin: Tubulin Beta 4 Antibody (3F1) [NBP2-00812] - Staining of paraffin-embedded Carcinoma of Human thyroid tissue using anti-Tubulin Beta 4 mouse monoclonal antibody.
- Submitted by
- Novus Biologicals (provider)
- Main image

- Experimental details
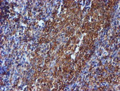
- Immunohistochemistry-Paraffin: Tubulin Beta 4 Antibody (3F1) [NBP2-00812] - Staining of paraffin-embedded Human tonsil using anti-Tubulin Beta 4 mouse monoclonal antibody.
Supportive validation
- Submitted by
- Novus Biologicals (provider)
- Main image

- Experimental details
- Flow Cytometry: Tubulin Beta 4 Antibody (3F1) [NBP2-00812] - Analysis of Hela cells, using anti-Tubulin Beta 4 antibody, (Red), compared to a nonspecific negative control antibody (Blue).