F0300
antibody from MilliporeSigma / Merck KGaA
Targeting: FGFR2
BEK, CD332, CEK3, CFD1, ECT1, JWS, K-SAM, KGFR, TK14, TK25
Antibody data
- Antibody Data
- Antigen structure
- References [0]
- Comments [0]
- Validations
- Western blot [1]
- Immunohistochemistry [1]
Submit
Validation data
Reference
Comment
Report error
- Product number
- F0300 - Provider product page

- Provider
- MilliporeSigma / Merck KGaA
- Product name
- Anti-Fibroblast Growth Factor Receptor-2, Cytoplasmic antibody produced in rabbit
- Antibody type
- Polyclonal
- Reactivity
- Human
- Host
- Rabbit
- Conjugate
- Unconjugated
- Storage
- Store at -20°C
No comments: Submit comment
Supportive validation
- Submitted by
- per
- Main image

- Experimental details
- Western blot analysis of antibody specificity using a routine panel composed of IgG/HSA-depleted human plasma and protein lysates from selected human tissues and cell lines.
- Validation comment
- Single band differing more than +/-20% from predicted size in kDa and not supported by experimental and/or bioinformatic data.
- Primary Ab dilution
- 1:500
- Secondary Ab dilution
- 1:3000
- Lane 1
- Marker [kDa]: 219, 111, 83, 48, 32, 26, 17
- Lane 2
- RT-4
- Lane 3
- U-251MG sp
- Lane 4
- Human Plasma
- Lane 5
- Liver
- Lane 6
- Tonsil
- Theoretical target weight
- [kDa] 87
Supportive validation
- Submitted by
- per
- Main image

- Experimental details
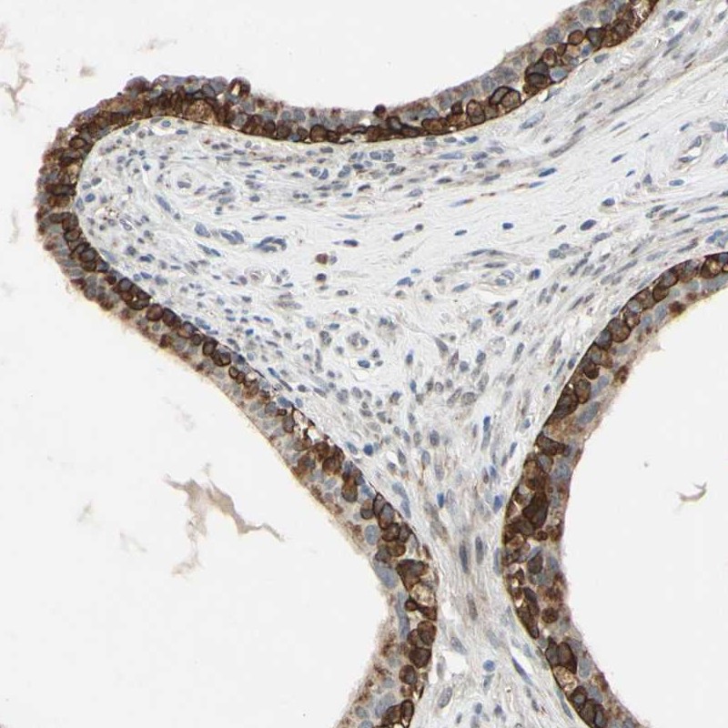
- Immunohistochemical staining of human epididymis shows strong cytoplasmic positivity in glandular cells.
- Validation comment
- Staining pattern partly consistent with experimental and/or bioinformatic data.