Antibody data
- Antibody Data
- Antigen structure
- References [1]
- Comments [0]
- Validations
- Western blot [2]
- Immunohistochemistry [2]
- Flow cytometry [1]
Submit
Validation data
Reference
Comment
Report error
- Product number
- NBP2-46510 - Provider product page

- Provider
- Novus Biologicals
- Product name
- Mouse Monoclonal ALDH1A3 Antibody
- Antibody type
- Monoclonal
- Description
- Affinity purified.
- Reactivity
- Human
- Host
- Mouse
- Isotype
- IgG
- Vial size
- 0.1 ml
- Concentration
- 1 mg/ml
- Storage
- Store at -20C. Avoid freeze-thaw cycles.
Submitted references Lipid Peroxidation Plays an Important Role in Chemotherapeutic Effects of Temozolomide and the Development of Therapy Resistance in Human Glioblastoma.
Wu W, Wu Y, Mayer K, von Rosenstiel C, Schecker J, Baur S, Würstle S, Liesche-Starnecker F, Gempt J, Schlegel J
Translational oncology 2020 Mar;13(3):100748
Translational oncology 2020 Mar;13(3):100748
No comments: Submit comment
Supportive validation
- Submitted by
- Novus Biologicals (provider)
- Main image

- Experimental details
- Western Blot: ALDH1A3 Antibody (4E8) [NBP2-46510] - Negative control E. coli lysate (Left lane) or E. coli lysate containing recombinant protein fragment for human ALDH1A3 (NP_000648) gene (the fusion of amino acids 1-100 and 413-512) (Right lane). Equivalent amounts (5 ug per lane) were separated by SDS-P
- Submitted by
- Novus Biologicals (provider)
- Main image

- Experimental details
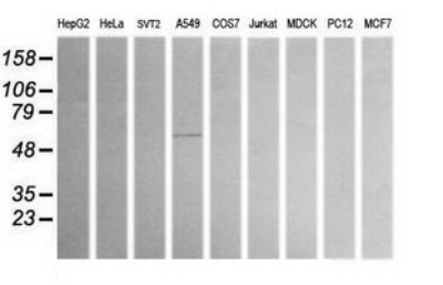
- Western Blot: ALDH1A3 Antibody (4E8) [NBP2-46510] - Analysis of extracts (35ug) from 9 different cell lines (HepG2: human; HeLa: human; SVT2: mouse; A549: human; COS7: monkey; Jurkat: human; MDCK: canine; PC12: rat; MCF7: human).
Supportive validation
- Submitted by
- Novus Biologicals (provider)
- Main image

- Experimental details
- Immunohistochemistry: ALDH1A3 Antibody (4E8) [NBP2-46510] - Analysis of Carcinoma of Human prostate tissue. (Heat-induced epitope retrieval by 10mM citric buffer, pH6.0, 120C for 3min)
- Submitted by
- Novus Biologicals (provider)
- Main image

- Experimental details
- Immunohistochemistry: ALDH1A3 Antibody (4E8) [NBP2-46510] - Analysis of Human prostate tissue. (Heat-induced epitope retrieval by 10mM citric buffer, pH6.0, 120C for 3min)
Supportive validation
- Submitted by
- Novus Biologicals (provider)
- Main image

- Experimental details
- Flow Cytometry: ALDH1A3 Antibody (4E8) [NBP2-46510] - Analysis of Jurkat cells, using ALDH1A3 antibody (Red), compared to a nonspecific negative control antibody (Blue).