Antibody data
- Antibody Data
 - Antigen structure
 - References [0]
 - Comments [0]
 - Validations
 - Immunohistochemistry [1]
 
Submit
Validation data
Reference
Comment
Report error
- Product number
 - T2948 - Provider product page

 - Provider
 - MilliporeSigma / Merck KGaA
 - Product name
 - Anti-TOB1
 - Antibody type
 - Monoclonal
 - Reactivity
 - Human
 - Host
 - Mouse
 
				No comments: Submit comment	
	
			
							
					Supportive validation
					
									
				
		- Submitted by
 - per
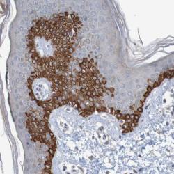
 - Main image
 
- Experimental details
 - Immunohistochemical staining of human skin shows strong cytoplasmic positivity in epidermal cells.
 - Validation comment
 - No experimental and/or bioinformatic data available, or staining pattern not consistent with experimental and/or bioinformatic data.