Antibody data
- Antibody Data
- Antigen structure
- References [0]
- Comments [0]
- Validations
- Immunohistochemistry [1]
Submit
Validation data
Reference
Comment
Report error
- Product number
- AP06475PU-N - Provider product page

- Provider
- OriGene
- Product name
- Urocortin (UCN) rabbit polyclonal antibody, Aff - Purified
- Antibody type
- Polyclonal
- Description
- Urocortin (UCN) rabbit polyclonal antibody, Aff - Purified
- Host
- Rabbit
- Conjugate
- Unconjugated
- Epitope
- UCN
- Antibody clone number
- NULL
- Vial size
- 100 µg
- Concentration
- 1.0 mg/ml
No comments: Submit comment
Supportive validation
- Submitted by
- OriGene (provider)
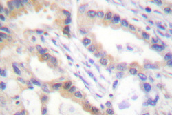
- Main image

- Experimental details
- Immunohistochemistry (IHC) analyzes of Urocortin antibody in paraffin-embedded human lung carcinoma tissue.
- Validation comment
- IHC