Antibody data
- Antibody Data
- Antigen structure
- References [1]
- Comments [0]
- Validations
- Western blot [1]
- Immunohistochemistry [1]
Submit
Validation data
Reference
Comment
Report error
- Product number
- ABIN499425 - Provider product page

- Provider
- antibodies-online
- Product name
- anti-Breast Carcinoma Amplified Sequence 4 (BCAS4) (N-Term) antibody
- Antibody type
- Polyclonal
- Antigen
- BCAS4 antibody was raised against a 14 amino acid peptide near the amino terminus of human BCAS4. (AP30127CP-N)
- Description
- Affinity chromatography purified via peptide column
- Reactivity
- Human, Mouse
- Host
- Rabbit
- Epitope
- N-Term
- Isotype
- IgG
- Vial size
- 0.1 mg
- Concentration
- 1.0 mg/mL
- Storage
- Store the antibody (in aliquots) at -20°C.
- Handling
- Avoid repeated freezing and thawing.
Submitted references Cloning of BCAS3 (17q23) and BCAS4 (20q13) genes that undergo amplification, overexpression, and fusion in breast cancer.
Bärlund M, Monni O, Weaver JD, Kauraniemi P, Sauter G, Heiskanen M, Kallioniemi OP, Kallioniemi A
Genes, chromosomes & cancer 2002 Dec;35(4):311-7
Genes, chromosomes & cancer 2002 Dec;35(4):311-7
No comments: Submit comment
Supportive validation
- Submitted by
- antibodies-online (provider)
- Main image

- Experimental details
- Western blot analysis of BCAS4 in 3T3 cell lysate with AP30127PU-N BCAS4 antibody at (A) 1 and (B) 2 ?g/ml.
Supportive validation
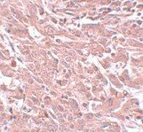
- Submitted by
- antibodies-online (provider)
- Main image

- Experimental details
- Immunohistochemistry of BCAS4 in human breast carcinoma with AP30127PU-N BCAS4 antibody at 5 ?g/ml.