Antibody data
- Antibody Data
- Antigen structure
- References [0]
- Comments [0]
- Validations
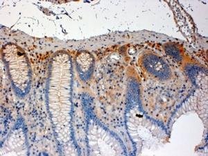
- Immunohistochemistry [1]
Submit
Validation data
Reference
Comment
Report error
- Product number
- ABIN2020823 - Provider product page

- Provider
- antibodies-online
- Product name
- anti-C-Src tyrosine Kinase (CSK) (C-Term) antibody
- Antibody type
- Polyclonal
- Antigen
- Other
- Description
- Purified from goat serum by ammonium sulphate precipitation followed by antigen affinity chromatography using the immunizing peptide.
- Reactivity
- Human
- Host
- Goat
- Antigen sequence
C-EQLEHIKTHE LHL- Epitope
- C-Term
- Isotype
- IgG
- Vial size
- 0.1 mg
- Concentration
- 0.5 mg/mL
- Storage
- Aliquot and store at -20°C.
- Handling
- Minimize freezing and thawing. Do NOT add Sodium Azide! Use of Sodium Azide will inhibit enzyme activity of horseradish peroxidase.
No comments: Submit comment
Supportive validation
- Submitted by
- antibodies-online (provider)
- Main image

- Experimental details
- Image(s): Immunohistochemistry