35-8800
antibody from Invitrogen Antibodies
Targeting: CXCR4
CD184, D2S201E, fusin, HM89, HSY3RR, LESTR, NPY3R, NPYR, NPYY3R
Antibody data
- Antibody Data
- Antigen structure
- References [25]
- Comments [0]
- Validations
- Flow cytometry [3]
- Other assay [8]
Submit
Validation data
Reference
Comment
Report error
- Product number
- 35-8800 - Provider product page

- Provider
- Invitrogen Antibodies
- Product name
- CXCR4 Monoclonal Antibody (12G5)
- Antibody type
- Monoclonal
- Antigen
- Other
- Description
- By Western blot, 35-8800 detects a band at ~60kD, which likely represents an isoform or post-translationally modified form of CXCR4, many of which have been described in the literature.
- Reactivity
- Human
- Host
- Mouse
- Isotype
- IgG
- Antibody clone number
- 12G5
- Vial size
- 100 μg
- Concentration
- 0.5 mg/mL
- Storage
- -20°C
Submitted references CXCR4 promotes B cell viability by the cooperation of nuclear factor (erythroid-derived 2)-like 2 and hypoxia-inducible factor-1α under hypoxic conditions.
EGFR Activates a TAZ-Driven Oncogenic Program in Glioblastoma.
MiR-140-3p Ameliorates the Progression of Osteoarthritis via Targeting CXCR4.
Cocktail Strategy Based on NK Cell-Derived Exosomes and Their Biomimetic Nanoparticles for Dual Tumor Therapy.
Optimized nonviral gene delivery for primary urinary renal progenitor cells to enhance cell migration.
PLCε1 regulates SDF-1α-induced lymphocyte adhesion and migration to sites of inflammation.
In vitro formation of neuroclusters in microfluidic devices and cell migration as a function of stromal-derived growth factor 1 gradients.
Circulating Progenitor Cells is Linked to Cognitive Decline in Healthy Adults.
Distinct bone marrow blood vessels differentially regulate haematopoiesis.
Immunohistochemical Predictors of Bone Metastases in Breast Cancer Patients.
Pantethine Alters Lipid Composition and Cholesterol Content of Membrane Rafts, With Down-Regulation of CXCL12-Induced T Cell Migration.
EGF as a New Therapeutic Target for Medulloblastoma Metastasis.
Immunohistochemical analysis of cancer stem cell markers in pancreatic adenocarcinoma patients after neoadjuvant chemoradiotherapy.
Brain metastasis in renal cancer patients: metastatic pattern, tumour-associated macrophages and chemokine/chemoreceptor expression.
Immunohistochemical prediction of brain metastases in patients with advanced breast cancer: the role of Rad51.
Participation of peribiliary glands in biliary tract pathophysiologies.
Hypoxia induces CXCR4 expression and biological activity in gastric cancer cells through activation of hypoxia-inducible factor-1α.
Co-culture of hematopoietic stem cells with mesenchymal stem cells increases VCAM-1-dependent migration of primitive hematopoietic stem cells.
Comparative analysis of tumorbiology and CD133 positivity in primary and recurrent pancreatic ductal adenocarcinoma.
Increased levels of active c-Src distinguish invasive from in situ lobular lesions.
GM-CSF DNA: an adjuvant for higher avidity IgG, rectal IgA, and increased protection against the acute phase of a SHIV-89.6P challenge by a DNA/MVA immunodeficiency virus vaccine.
Gene expression profiling identifies genes associated with invasive intraductal papillary mucinous neoplasms of the pancreas.
Acquisition of lymph node, but not distant metastatic potentials, by the overexpression of CXCR4 in human oral squamous cell carcinoma.
CD4-independent infection by HIV-2 is mediated by fusin/CXCR4.
CD4-independent infection by HIV-2 is mediated by fusin/CXCR4.
Jang JW, Thuy PX, Lee JW, Moon EY
Cell death & disease 2021 Mar 26;12(4):330
Cell death & disease 2021 Mar 26;12(4):330
EGFR Activates a TAZ-Driven Oncogenic Program in Glioblastoma.
Gao M, Fu Y, Zhou W, Gui G, Lal B, Li Y, Xia S, Ji H, Eberhart CG, Laterra J, Ying M
Cancer research 2021 Jul 1;81(13):3580-3592
Cancer research 2021 Jul 1;81(13):3580-3592
MiR-140-3p Ameliorates the Progression of Osteoarthritis via Targeting CXCR4.
Ren T, Wei P, Song Q, Ye Z, Wang Y, Huang L
Biological & pharmaceutical bulletin 2020 May 1;43(5):810-816
Biological & pharmaceutical bulletin 2020 May 1;43(5):810-816
Cocktail Strategy Based on NK Cell-Derived Exosomes and Their Biomimetic Nanoparticles for Dual Tumor Therapy.
Wang G, Hu W, Chen H, Shou X, Ye T, Xu Y
Cancers 2019 Oct 14;11(10)
Cancers 2019 Oct 14;11(10)
Optimized nonviral gene delivery for primary urinary renal progenitor cells to enhance cell migration.
Liu GW, Johnson SL, Jain R, Peeler DJ, Shankland SJ, Pun SH
Journal of biomedical materials research. Part A 2019 Dec;107(12):2718-2725
Journal of biomedical materials research. Part A 2019 Dec;107(12):2718-2725
PLCε1 regulates SDF-1α-induced lymphocyte adhesion and migration to sites of inflammation.
Strazza M, Azoulay-Alfaguter I, Peled M, Smrcka AV, Skolnik EY, Srivastava S, Mor A
Proceedings of the National Academy of Sciences of the United States of America 2017 Mar 7;114(10):2693-2698
Proceedings of the National Academy of Sciences of the United States of America 2017 Mar 7;114(10):2693-2698
In vitro formation of neuroclusters in microfluidic devices and cell migration as a function of stromal-derived growth factor 1 gradients.
McCutcheon S, Unachukwu U, Thakur A, Majeska R, Redenti S, Vazquez M
Cell adhesion & migration 2017 Jan 2;11(1):1-12
Cell adhesion & migration 2017 Jan 2;11(1):1-12
Circulating Progenitor Cells is Linked to Cognitive Decline in Healthy Adults.
Hajjar I, Goldstein FC, Waller EK, Moss LD, Quyyumi A
The American journal of the medical sciences 2016 Feb;351(2):147-52
The American journal of the medical sciences 2016 Feb;351(2):147-52
Distinct bone marrow blood vessels differentially regulate haematopoiesis.
Itkin T, Gur-Cohen S, Spencer JA, Schajnovitz A, Ramasamy SK, Kusumbe AP, Ledergor G, Jung Y, Milo I, Poulos MG, Kalinkovich A, Ludin A, Kollet O, Shakhar G, Butler JM, Rafii S, Adams RH, Scadden DT, Lin CP, Lapidot T
Nature 2016 Apr 21;532(7599):323-8
Nature 2016 Apr 21;532(7599):323-8
Immunohistochemical Predictors of Bone Metastases in Breast Cancer Patients.
Winczura P, Sosińska-Mielcarek K, Duchnowska R, Badzio A, Lakomy J, Majewska H, Pęksa R, Pieczyńska B, Radecka B, Dębska-Szmich S, Adamowicz K, Biernat W, Jassem J
Pathology oncology research : POR 2015 Sep;21(4):1229-36
Pathology oncology research : POR 2015 Sep;21(4):1229-36
Pantethine Alters Lipid Composition and Cholesterol Content of Membrane Rafts, With Down-Regulation of CXCL12-Induced T Cell Migration.
van Gijsel-Bonnello M, Acar N, Molino Y, Bretillon L, Khrestchatisky M, de Reggi M, Gharib B
Journal of cellular physiology 2015 Oct;230(10):2415-25
Journal of cellular physiology 2015 Oct;230(10):2415-25
EGF as a New Therapeutic Target for Medulloblastoma Metastasis.
Rico-Varela J, Singh T, McCutcheon S, Vazquez M
Cellular and molecular bioengineering 2015 Dec;8(4):553-565
Cellular and molecular bioengineering 2015 Dec;8(4):553-565
Immunohistochemical analysis of cancer stem cell markers in pancreatic adenocarcinoma patients after neoadjuvant chemoradiotherapy.
Mizukami T, Kamachi H, Mitsuhashi T, Tsuruga Y, Hatanaka Y, Kamiyama T, Matsuno Y, Taketomi A
BMC cancer 2014 Sep 21;14:687
BMC cancer 2014 Sep 21;14:687
Brain metastasis in renal cancer patients: metastatic pattern, tumour-associated macrophages and chemokine/chemoreceptor expression.
Wyler L, Napoli CU, Ingold B, Sulser T, Heikenwälder M, Schraml P, Moch H
British journal of cancer 2014 Feb 4;110(3):686-94
British journal of cancer 2014 Feb 4;110(3):686-94
Immunohistochemical prediction of brain metastases in patients with advanced breast cancer: the role of Rad51.
Sosińska-Mielcarek K, Duchnowska R, Winczura P, Badzio A, Majewska H, Lakomy J, Pęksa R, Pieczyńska B, Radecka B, Dębska S, Biernat W, Jassem J
Breast (Edinburgh, Scotland) 2013 Dec;22(6):1178-83
Breast (Edinburgh, Scotland) 2013 Dec;22(6):1178-83
Participation of peribiliary glands in biliary tract pathophysiologies.
Igarashi S, Sato Y, Ren XS, Harada K, Sasaki M, Nakanuma Y
World journal of hepatology 2013 Aug 27;5(8):425-32
World journal of hepatology 2013 Aug 27;5(8):425-32
Hypoxia induces CXCR4 expression and biological activity in gastric cancer cells through activation of hypoxia-inducible factor-1α.
Oh YS, Kim HY, Song IC, Yun HJ, Jo DY, Kim S, Lee HJ
Oncology reports 2012 Dec;28(6):2239-46
Oncology reports 2012 Dec;28(6):2239-46
Co-culture of hematopoietic stem cells with mesenchymal stem cells increases VCAM-1-dependent migration of primitive hematopoietic stem cells.
Perdomo-Arciniegas AM, Vernot JP
International journal of hematology 2011 Dec;94(6):525-32
International journal of hematology 2011 Dec;94(6):525-32
Comparative analysis of tumorbiology and CD133 positivity in primary and recurrent pancreatic ductal adenocarcinoma.
Welsch T, Keleg S, Bergmann F, Degrate L, Bauer S, Schmidt J
Clinical & experimental metastasis 2009;26(7):701-11
Clinical & experimental metastasis 2009;26(7):701-11
Increased levels of active c-Src distinguish invasive from in situ lobular lesions.
Zou D, Yoon HS, Anjomshoaa A, Perez D, Fukuzawa R, Guilford P, Humar B
Breast cancer research : BCR 2009;11(4):R45
Breast cancer research : BCR 2009;11(4):R45
GM-CSF DNA: an adjuvant for higher avidity IgG, rectal IgA, and increased protection against the acute phase of a SHIV-89.6P challenge by a DNA/MVA immunodeficiency virus vaccine.
Lai L, Vödrös D, Kozlowski PA, Montefiori DC, Wilson RL, Akerstrom VL, Chennareddi L, Yu T, Kannanganat S, Ofielu L, Villinger F, Wyatt LS, Moss B, Amara RR, Robinson HL
Virology 2007 Dec 5;369(1):153-67
Virology 2007 Dec 5;369(1):153-67
Gene expression profiling identifies genes associated with invasive intraductal papillary mucinous neoplasms of the pancreas.
Sato N, Fukushima N, Maitra A, Iacobuzio-Donahue CA, van Heek NT, Cameron JL, Yeo CJ, Hruban RH, Goggins M
The American journal of pathology 2004 Mar;164(3):903-14
The American journal of pathology 2004 Mar;164(3):903-14
Acquisition of lymph node, but not distant metastatic potentials, by the overexpression of CXCR4 in human oral squamous cell carcinoma.
Uchida D, Begum NM, Tomizuka Y, Bando T, Almofti A, Yoshida H, Sato M
Laboratory investigation; a journal of technical methods and pathology 2004 Dec;84(12):1538-46
Laboratory investigation; a journal of technical methods and pathology 2004 Dec;84(12):1538-46
CD4-independent infection by HIV-2 is mediated by fusin/CXCR4.
Endres MJ, Clapham PR, Marsh M, Ahuja M, Turner JD, McKnight A, Thomas JF, Stoebenau-Haggarty B, Choe S, Vance PJ, Wells TN, Power CA, Sutterwala SS, Doms RW, Landau NR, Hoxie JA
Cell 1996 Nov 15;87(4):745-56
Cell 1996 Nov 15;87(4):745-56
CD4-independent infection by HIV-2 is mediated by fusin/CXCR4.
Endres MJ, Clapham PR, Marsh M, Ahuja M, Turner JD, McKnight A, Thomas JF, Stoebenau-Haggarty B, Choe S, Vance PJ, Wells TN, Power CA, Sutterwala SS, Doms RW, Landau NR, Hoxie JA
Cell 1996 Nov 15;87(4):745-56
Cell 1996 Nov 15;87(4):745-56
No comments: Submit comment
Supportive validation
- Submitted by
- Invitrogen Antibodies (provider)
- Main image

- Experimental details
- Flow cytometry analysis of CXCR4 on Ramos cells. Cells were fixed, permeabilized, and stained with a CXCR4 monoclonal antibody (Product # 35-8800, red histogram) or with a mouse IgG2a isotype control (Product # MA1-10418, blue histogram) at a concentration of 4 µg/mL. After incubation of the primary antibody for at least 1 hour on ice, the cells were stained with a DyLight 488-conjugated goat anti-mouse IgG secondary antibody (Product # 35502) for at least 30 minutes on ice. A representative 10,000 cells were acquired for each sample.
- Submitted by
- Invitrogen Antibodies (provider)
- Main image

- Experimental details
- Knockout of CXCR4 was achieved by CRISPR-Cas9 genome editing using LentiArray™ Lentiviral sgRNA (Product # A32042, Assay ID CRISPR695599_LV) and LentiArray Cas9 Lentivirus (Product # A32064). Flow cytometry analysis of CXCR4 was performed by staining HeLa CXCR4 Knock out cells with4 µg Mouse / IgG2a, kappa (Product # 14-4724-82, yellow histogram) or 4 µg CXCR4 Monoclonal Antibody (12G5) (Product # 358800, blue histogram) followed by Goat anti-Mouse IgG (H+L), Superclonal™ Recombinant Secondary Antibody, Alexa Fluor™ Plus 488 (Product # A55058, 1:1000). HeLa Cas9 control cells were also stained with4 µg CXCR4 Monoclonal Antibody (12G5) (Product # 358800, pink histogram) followed by the secondary antibody. Lossof signal was observed in the CXCR4 KOcells stained with CXCR4 antibody clone 12G5 but not in the control Cas9cells. Viable cells were used for analysis, as determined by Fixable Viability Dye eFluor™ 780 (Product # 65-0865-18).
- Submitted by
- Invitrogen Antibodies (provider)
- Main image

- Experimental details
- Flow cytometry analysis of CXCR4 on Ramos cells. Cells were fixed, permeabilized, and stained with a CXCR4 monoclonal antibody (Product # 35-8800, red histogram) or with a mouse IgG2a isotype control (Product # MA1-10418, blue histogram) at a concentration of 4 µg/mL. After incubation of the primary antibody for at least 1 hour on ice, the cells were stained with a DyLight 488-conjugated goat anti-mouse IgG secondary antibody (Product # 35502) for at least 30 minutes on ice. A representative 10,000 cells were acquired for each sample.
Supportive validation
- Submitted by
- Invitrogen Antibodies (provider)
- Main image

- Experimental details
- NULL
- Submitted by
- Invitrogen Antibodies (provider)
- Main image

- Experimental details
- NULL
- Submitted by
- Invitrogen Antibodies (provider)
- Main image

- Experimental details
- NULL
- Submitted by
- Invitrogen Antibodies (provider)
- Main image

- Experimental details
- Figure 1 Immunohistochemical staining of each CSC marker in pancreatic adenocarcinoma. The arrows indicate strong staining intensity of EpCAM (A) , CD24 (B) , CD44 (C) , CD133 (D) , CXCR4 (E) and ALDH1 (F) . Scale bar, 100 mum.
- Submitted by
- Invitrogen Antibodies (provider)
- Main image

- Experimental details
- Fig. 1 Representative images of particular proteins' expression (magnification x200). a CK 5/6, b CXCR4, c CaSR, d COX2, e OPN n , f OPN cyt , g PTHrPR1
- Submitted by
- Invitrogen Antibodies (provider)
- Main image

- Experimental details
- Figure 5 Expression of metastatic markers in invasive lobular breast cancer (LBC) cells. (a) Co-expression of osteopontin (green) in invasive lobular carcinoma (ILC) cells positive for vimentin (red). Asterisks mark in situ lesions. (b) LBC cells with activated c-Src (green) coexpress the bone metastatic marker osteopontin (red). (c) Cxcr4, a marker for lymph node metastasis, was weakly expressed in the in situ lesions (left) and strongly expressed in the vast majority of invasive cancer cells (middle and right).
- Submitted by
- Invitrogen Antibodies (provider)
- Main image

- Experimental details
- Fig. 1 B cell viability is regulated by hCXCR4 expression under hypoxic condition. A , B WiL2-NS cells were incubated for 12, 24, 36 h under normoxic or hypoxic conditions. Cell viability was assessed by using trypan blue exclusion assay ( A ) and cell number was calculated ( B ). C - E WiL2-NS cells were transfected with pEZX-PG02-hCXCR4-gaussia luciferase (Gluc) plasmid DNA using Viafect(tm). After 30 h transfection, WiL2-NS cells were incubated with hypoxia and Gluc activity of hCXCR4 promoter (pmt) was measured by using luminometer ( C ). RNA was extracted by using Nucleozol. mRNA of hCXCR4 was measured by RT-PCR ( D ) or real-time qPCR ( E ). F , G Mutant promoter to hCXCR4 was prepared from wild type promoter ( F ). WiL2-NS cells were transfected with wild-type or mutant-type pEZx-PG02-hCXCR4-Gluc promoter plasmid DNA. 30 h after transfection, WiL2-NS cells were incubated under hypoxic condition and Gluc activity was measured by using luminometer ( G ). H , I Cells were transfected with CXCR4-siRNA under normoxic condition. RNA was extracted by using Nucleozol. mRNA of hCXCR4 was measured by RT-PCR ( H , top). Cell lysates were prepared and the level of each protein was measured by western blot analysis ( H , bottom). Cell viability under hypoxic conditions was assessed by trypan blue exclusion assay ( I ). Each experiment was performed at least five times. Data in bar or line graphs stands for the means +- SD. ** p < 0.01; significantly different from control group und
- Submitted by
- Invitrogen Antibodies (provider)
- Main image

- Experimental details
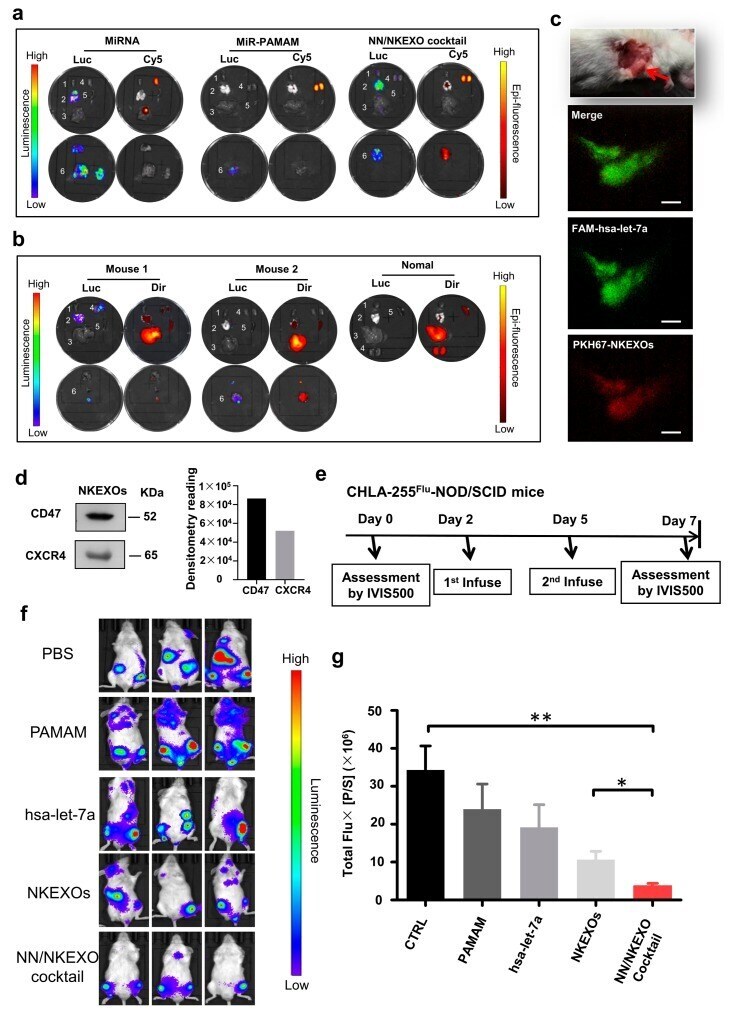
- Figure 4 In vivo biodistribution and anti-tumor effect of the NN/NKEXO cocktail. ( a ) Bioluminescence (Luc) and miRNA fluorescence (Cy5) images of major organs of the NOD/SCID mice bearing systemic CHLA-255-luc tumors 6 h after intravenous (i.v.) injection of Cy5-let-7a, Cy5-let-7a-dendrimers and Cy5-labeled NN/NKEXO cocktail: 1) Heart; 2) lung; 3) liver; 4) kidney; 5) spleen and 6) tumor. ( b ) Bioluminescence (Luc) and fluorescence images of major organs 6 h after i.v. injection of DiR-labeled NN/NKEXO cocktail made of 5.28 µg of let-7a and 100 mug of NKEXOs. ( c ) In vivo two-photon excitation fluorescence images of the CHLA-255 luc subcutaneous tumor model 20 min after i.v. injection of 400 muL dual fluorescently labeled NN/NKEXO cocktail made of 5.28 µg of let-7a and 100 mug of NKEXOs. ( d ) Expression of functional proteins (CD47 and CXCR4) was confirmed by WB. ( e ) Experimental protocol for CHLA-255 luc -NOD/SCID mice shown in ( f ). ( f ) Bioluminescence imaging (BLI) performed in CHLA-255 luc -NOD/SCID mice treated with different cocktail formulations at let-7a dose of 5.28 µg and NKEXO dose of 100 µg ( n = 3). ( g ) Quantification of BLI results. Each bar represents mean +- SD of three replicates. * p < 0.05 and ** p < 0.001.