LS-C359320
antibody from LSBio
Targeting: CCL2
GDCF-2, HC11, MCAF, MCP-1, MCP1, MGC9434, SCYA2, SMC-CF
Antibody data
- Antibody Data
- Antigen structure
- References [0]
- Comments [0]
- Validations
- Western blot [2]
- ELISA [3]
- Immunohistochemistry [3]
Submit
Validation data
Reference
Comment
Report error
- Product number
- LS-C359320 - Provider product page

- Provider
- LSBio
- Product name
- CCL2 / MCP1 Antibody (clone 2D8) LS-C359320
- Antibody type
- Monoclonal
- Description
- Ammonium sulfate precipitation
- Reactivity
- Human, Mouse, Simian
- Host
- Mouse
- Isotype
- IgG
- Antibody clone number
- 2D8
- Storage
- Short term: store at 4°C. Long term: aliquot and store at -20°C. Avoid freeze-thaw cycles.
No comments: Submit comment
Enhanced validation
- Submitted by
- LSBio (provider)
- Enhanced method
- Genetic validation
- Main image

- Experimental details
- Western Blot: MCP1 Antibody (2D8) - Western blot analysis using MCP1 mouse mAb against A549 (1), HeLa (2), Raw264.7 (3), L1210 (4), C6 (5), and COS-7 (6)cell lysate. This image was taken for the unconjugated form of this product. Other forms have not been tested.
- Submitted by
- LSBio (provider)
- Enhanced method
- Genetic validation
- Main image

- Experimental details
- Western Blot: MCP1 Antibody (2D8) - Western blot analysis using MCP1 mAb against human MCP1 (AA: 1-99) recombinant protein. (Expected MW is 36.5 kDa). This image was taken for the unconjugated form of this product. Other forms have not been tested.
Supportive validation
- Submitted by
- LSBio (provider)
- Enhanced method
- Genetic validation
- Main image

- Experimental details
- ELISA: MCP1 Antibody (2D8) - Red: Control Antigen (100ng); Purple: Antigen (10ng); Green: Antigen (50ng); Blue: Antigen (100ng). This image was taken for the unconjugated form of this product. Other forms have not been tested.
- Submitted by
- LSBio (provider)
- Main image

- Experimental details
- ELISA: MCP1 Antibody (2D8) - Red: Control Antigen (100ng); Purple: Antigen (10ng); Green: Antigen (50ng); Blue: Antigen (100ng). This image was taken for the unconjugated form of this product. Other forms have not been tested.
- Submitted by
- LSBio (provider)
- Main image

- Experimental details
- ELISA: MCP1 Antibody (2D8) - Red: Control Antigen (100ng); Purple: Antigen (10ng); Green: Antigen (50ng); Blue: Antigen (100ng). This image was taken for the unconjugated form of this product. Other forms have not been tested.
Supportive validation
- Submitted by
- LSBio (provider)
- Enhanced method
- Genetic validation
- Main image

- Experimental details
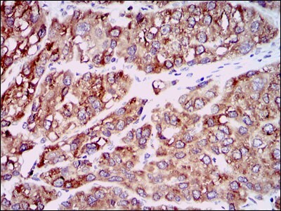
- Immunohistochemistry-Paraffin: MCP1 Antibody (2D8) - Immunohistochemical analysis of paraffin-embedded liver cancer tissues using MCP1 mouse mAb with DAB staining. This image was taken for the unconjugated form of this product. Other forms have not been tested.
- Submitted by
- LSBio (provider)
- Enhanced method
- Genetic validation
- Main image

- Experimental details
- Immunohistochemistry-Paraffin: MCP1 Antibody (2D8) - Immunohistochemical analysis of paraffin-embedded liver cancer tissues using MCP1 mouse mAb with DAB staining. This image was taken for the unconjugated form of this product. Other forms have not been tested.
- Submitted by
- LSBio (provider)
- Enhanced method
- Genetic validation
- Main image

- Experimental details
- Immunohistochemistry-Paraffin: MCP1 Antibody (2D8) - Immunohistochemical analysis of paraffin-embedded liver cancer tissues using MCP1 mouse mAb with DAB staining. This image was taken for the unconjugated form of this product. Other forms have not been tested.