Antibody data
- Antibody Data
- Antigen structure
- References [0]
- Comments [0]
- Validations
- Immunocytochemistry [4]
- Immunohistochemistry [1]
Submit
Validation data
Reference
Comment
Report error
- Product number
- MA5-44707 - Provider product page

- Provider
- Invitrogen Antibodies
- Product name
- NUDT19 Recombinant Rabbit Monoclonal Antibody (JE64-49)
- Antibody type
- Monoclonal
- Antigen
- Recombinant full-length protein
- Reactivity
- Human
- Host
- Rabbit
- Isotype
- IgG
- Antibody clone number
- JE64-49
- Vial size
- 100 μL
- Concentration
- 1 mg/mL
- Storage
- Store at 4°C short term. For long term storage, store at -20°C, avoiding freeze/thaw cycles.
No comments: Submit comment
Supportive validation
- Submitted by
- Invitrogen Antibodies (provider)
- Main image

- Experimental details
- Immunocytochemistry analysis of NUDT19 in HeLa cells. Cells were fixed in 4% paraformaldehyde for 10 minutes at 37 ℃, permeabilized with 0.05% Triton X-100 in PBS for 20 minutes, and then blocked with 2% negative goat serum for 30 minutes at room temperature. Samples were incubated in NUDT19 Monoclonal antibody (Product # MA5-44707) using a dilution of 1:50 in 2% negative goat serum overnight at 4 ℃ followed by Goat Anti-Rabbit IgG H&L (iFluor™ 488) secondary antibody at a dilution of 1:1,000. Nuclear DNA was labelled in blue with DAPI.
- Submitted by
- Invitrogen Antibodies (provider)
- Main image

- Experimental details
- Immunocytochemistry analysis of NUDT19 in SiHa cells. Cells were fixed in 4% paraformaldehyde for 10 minutes at 37 ℃, permeabilized with 0.05% Triton X-100 in PBS for 20 minutes, and then blocked with 2% negative goat serum for 30 minutes at room temperature. Samples were incubated in NUDT19 Monoclonal antibody (Product # MA5-44707) using a dilution of 1:50 in 2% negative goat serum overnight at 4 ℃ followed by Goat Anti-Rabbit IgG H&L (iFluor™ 488) secondary antibody at a dilution of 1:1,000. Nuclear DNA was labelled in blue with DAPI.
- Submitted by
- Invitrogen Antibodies (provider)
- Main image

- Experimental details
- Immunocytochemistry analysis of NUDT19 in SiHa cells. Cells were fixed in 4% paraformaldehyde for 10 minutes at 37 ℃, permeabilized with 0.05% Triton X-100 in PBS for 20 minutes, and then blocked with 2% negative goat serum for 30 minutes at room temperature. Samples were incubated in NUDT19 Monoclonal antibody (Product # MA5-44707) using a dilution of 1:50 in 2% negative goat serum overnight at 4 ℃ followed by Goat Anti-Rabbit IgG H&L (iFluor™ 488) secondary antibody at a dilution of 1:1,000. Nuclear DNA was labelled in blue with DAPI.
- Submitted by
- Invitrogen Antibodies (provider)
- Main image

- Experimental details
- Immunocytochemistry analysis of NUDT19 in HeLa cells. Cells were fixed in 4% paraformaldehyde for 10 minutes at 37 ℃, permeabilized with 0.05% Triton X-100 in PBS for 20 minutes, and then blocked with 2% negative goat serum for 30 minutes at room temperature. Samples were incubated in NUDT19 Monoclonal antibody (Product # MA5-44707) using a dilution of 1:50 in 2% negative goat serum overnight at 4 ℃ followed by Goat Anti-Rabbit IgG H&L (iFluor™ 488) secondary antibody at a dilution of 1:1,000. Nuclear DNA was labelled in blue with DAPI.
Supportive validation
- Submitted by
- Invitrogen Antibodies (provider)
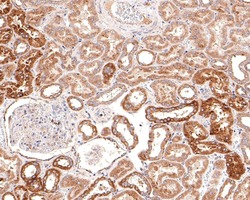
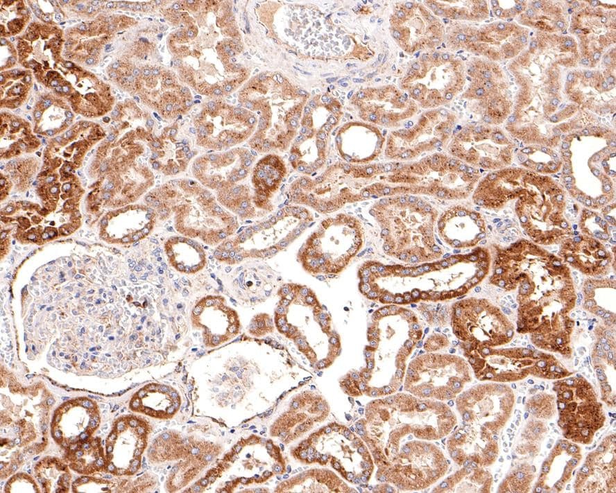
- Main image

- Experimental details
- Immunohistochemistry analysis of NUDT19 in paraffin-embedded human kidney tissue. The section was pre-treated using heat mediated antigen retrieval with Tris-EDTA buffer (pH 9.0) for 20 minutes. The tissues were blocked in 1% BSA for 20 minutes at room temperature, washed with ddH2O and PBS, and then probed with NUDT19 Monoclonal antibody (Product # MA5-44707) using a dilution of 1:100 for 1 hour at room temperature. The detection was performed using an HRP conjugated compact polymer system. DAB was used as the chromogen. Tissues were counterstained with hematoxylin and mounted with DPX.