Antibody data
- Antibody Data
- Antigen structure
- References [0]
- Comments [0]
- Validations
- Western blot [1]
- Immunohistochemistry [1]
Submit
Validation data
Reference
Comment
Report error
- Product number
- PAB28019 - Provider product page

- Provider
- Abnova Corporation
- Product name
- LSM5 polyclonal antibody
- Antibody type
- Polyclonal
- Description
- Rabbit polyclonal antibody raised against recombinant LSM5
- Antigen sequence
LLPLELVDKCIGSRIHIVMKSDKEIVGTLLGFDDF
VNMVLEDVTEFEITPEGRRITKLDQILLNGNNITM
LV- Isotype
- IgG
- Storage
- Store at 4°C. For long term storage store at -20°C.Aliquot to avoid repeated freezing and thawing.
No comments: Submit comment
Supportive validation
- Submitted by
- Abnova Corporation (provider)
- Main image

- Experimental details
- Western blot analysis of Lane 1: Negative control (vector only transfected HEK293T lysate) Lane 2: Over-expression Lysate (Co-expressed with a C-terminal myc-DDK tag (~3.1 kDa) in mammalian HEK293T cells with LSM5 polyclonal antibody (Cat # PAB28019).
Supportive validation
- Submitted by
- Abnova Corporation (provider)
- Main image

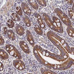
- Experimental details
- Immunohistochemical staining of human duodenum with LSM5 polyclonal antibody ( Cat # PAB28019 ) shows strong granular cytoplasmic positivity in glandular cells at 1:20 - 1:50 dilution.
- Validation comment
- Immunohistochemistry (Formalin/PFA-fixed paraffin-embedded sections)