Antibody data
- Antibody Data
- Antigen structure
- References [0]
- Comments [0]
- Validations
- Immunohistochemistry [6]
Submit
Validation data
Reference
Comment
Report error
- Product number
- NBP1-85394 - Provider product page

- Provider
- Novus Biologicals
- Proper citation
- Novus Cat#NBP1-85394, RRID:AB_11003777
- Product name
- Rabbit Polyclonal ARMC3 Antibody
- Antibody type
- Polyclonal
- Description
- Immunogen affinity purified. Specificity of human ARMC3 antibody verified on a Protein Array containing target protein plus 383 other non-specific proteins.
- Reactivity
- Human
- Host
- Rabbit
- Isotype
- IgG
- Vial size
- 0.1 ml
- Storage
- Store at 4C short term. Aliquot and store at -20C long term. Avoid freeze-thaw cycles.
No comments: Submit comment
Supportive validation
- Submitted by
- Novus Biologicals (provider)
- Main image

- Experimental details
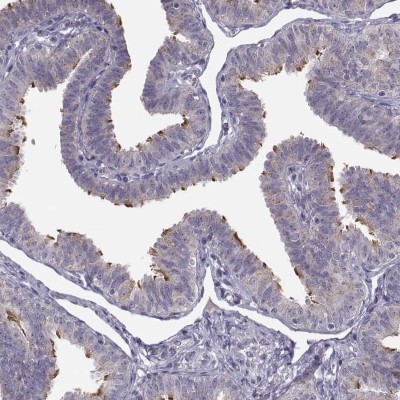
- Immunohistochemistry-Paraffin: ARMC3 Antibody [NBP1-85394] - Staining of human fallopian tube shows high expression.
- Submitted by
- Novus Biologicals (provider)
- Main image

- Experimental details
- Immunohistochemistry-Paraffin: ARMC3 Antibody [NBP1-85394] - Staining of human liver shows low expression as expected.
- Submitted by
- Novus Biologicals (provider)
- Main image

- Experimental details
- Immunohistochemistry-Paraffin: ARMC3 Antibody [NBP1-85394] - Staining in human fallopian tube and liver tissues using anti-ARMC3 antibody. Corresponding ARMC3 RNA-seq data are presented for the same tissues.
- Submitted by
- Novus Biologicals (provider)
- Main image

- Experimental details
- Immunohistochemistry-Paraffin: ARMC3 Antibody [NBP1-85394] - Staining of human fallopian tube, kidney, liver and testis using Anti-ARMC3 antibody NBP1-85394 (A) shows similar protein distribution across tissues to independent antibody NBP2-32703 (B).
- Submitted by
- Novus Biologicals (provider)
- Main image

- Experimental details
- Immunohistochemistry-Paraffin: ARMC3 Antibody [NBP1-85394] - Staining of human testis.
- Submitted by
- Novus Biologicals (provider)
- Main image

- Experimental details
- Immunohistochemistry-Paraffin: ARMC3 Antibody [NBP1-85394] - Staining of human kidney.