Antibody data
- Antibody Data
- Antigen structure
- References [0]
- Comments [0]
- Validations
- Western blot [1]
- ELISA [3]
- Immunohistochemistry [5]
Submit
Validation data
Reference
Comment
Report error
- Product number
- LS-C169302 - Provider product page

- Provider
- LSBio
- Product name
- PSIP1 / LEDGF Antibody (clone 6E4) LS-C169302
- Antibody type
- Monoclonal
- Description
- Ascites
- Reactivity
- Human
- Host
- Mouse
- Isotype
- IgG
- Antibody clone number
- 6E4
- Storage
- Short term: store at 4°C. Long term: store at -20°C.
No comments: Submit comment
Enhanced validation
- Submitted by
- LSBio (provider)
- Enhanced method
- Genetic validation
- Main image

- Experimental details
- Western blot using PSIP1 mouse monoclonal antibody against HepG2 (1), Jurkat (2), K562 (3), Cos7 (4), PC-12 (5), HeLa (6), and NIH/3T3 (7) cell lysate.
Supportive validation
- Submitted by
- LSBio (provider)
- Enhanced method
- Genetic validation
- Main image

- Experimental details
- Red: Control Antigen (100ng); Purple: Antigen (10ng); Green: Antigen (50ng); Blue: Antigen (100ng);
- Submitted by
- LSBio (provider)
- Main image

- Experimental details
- Red: Control Antigen (100ng); Purple: Antigen (10ng); Green: Antigen (50ng); Blue: Antigen (100ng);
- Submitted by
- LSBio (provider)
- Main image

- Experimental details
- Red: Control Antigen (100ng); Purple: Antigen (10ng); Green: Antigen (50ng); Blue: Antigen (100ng);
Enhanced validation
- Submitted by
- LSBio (provider)
- Enhanced method
- Genetic validation
- Main image

- Experimental details
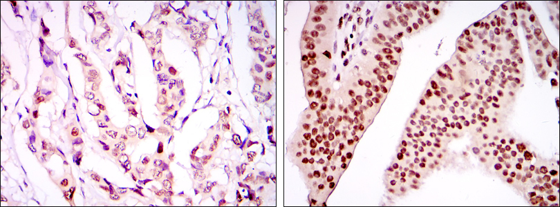
- IHC of paraffin-embedded breast cancer tissues (left) and ovarian cancer tissues (right) using PSIP1 mouse monoclonal antibody with DAB staining.
- Submitted by
- LSBio (provider)
- Enhanced method
- Genetic validation
- Main image

- Experimental details
- IHC of paraffin-embedded lung cancer tissues (left) and brain tissues (right) using PSIP1 mouse monoclonal antibody with DAB staining.
- Submitted by
- LSBio (provider)
- Enhanced method
- Genetic validation
- Main image

- Experimental details
- IHC of paraffin-embedded breast cancer tissues (left) and ovarian cancer tissues (right) using PSIP1 mouse monoclonal antibody with DAB staining.
- Submitted by
- LSBio (provider)
- Main image

- Experimental details
- IHC of paraffin-embedded lung cancer tissues (left) and brain tissues (right) using PSIP1 mouse monoclonal antibody with DAB staining.
- Submitted by
- LSBio (provider)
- Main image

- Experimental details
- IHC of paraffin-embedded breast cancer tissues (left) and ovarian cancer tissues (right) using PSIP1 mouse monoclonal antibody with DAB staining.