Antibody data
- Antibody Data
- Antigen structure
- References [0]
- Comments [0]
- Validations
- Western blot [1]
- ELISA [1]
- Immunocytochemistry [1]
- Immunohistochemistry [2]
Submit
Validation data
Reference
Comment
Report error
- Product number
- AM06564SU-N - Provider product page

- Provider
- Acris Antibodies GmbH
- Proper citation
- Acris Antibodies GmbH Cat#AM06564SU-N, RRID:AB_11217085
- Product name
- anti PSIP1
- Antibody type
- Monoclonal
- Antigen
- Purified recombinant fragment of Human PSIP1 expressed in E. Coli.
- Reactivity
- Human, Rat, Simian
- Host
- Mouse
- Isotype
- IgG
- Antibody clone number
- 6E4
- Vial size
- 0.1 ml
No comments: Submit comment
Supportive validation
- Submitted by
- Acris Antibodies GmbH (provider)
- Main image

- Experimental details
- Western blot analysis using PSIP1 antibody Cat.-No AM06564SU-N against HepG2 (1), Jurkat (2), K562 (3), Cos7 (4), PC-12 (5), Hela (6), and NIH/3T3 (7) cell lysate.
Supportive validation
- Submitted by
- Acris Antibodies GmbH (provider)
- Main image

Supportive validation
- Submitted by
- Acris Antibodies GmbH (provider)
- Main image

- Experimental details
- Immunofluorescence analysis of NIH/3T3 cells using PSIP1 antibody Cat.-No AM06564SU-N (green). Red: Actin filaments have been labeled with Alexa Fluor-555 phalloidin.
Supportive validation
- Submitted by
- Acris Antibodies GmbH (provider)
- Main image

- Experimental details
- Immunohistochemical analysis of paraffin-embedded lung cancer tissues (left) and brain tissues (right) using PSIP1 antibody Cat.-No AM06564SU-N with DAB staining.
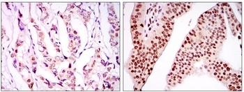
- Submitted by
- Acris Antibodies GmbH (provider)
- Main image

- Experimental details
- Immunohistochemical analysis of paraffin-embedded breast cancer tissues (left) and ovarian cancer tissues (right) using PSIP1 antibody Cat.-No AM06564SU-N with DAB staining.