Antibody data
- Antibody Data
- Antigen structure
- References [0]
- Comments [0]
- Validations
- Immunocytochemistry [3]
- Immunohistochemistry [1]
Submit
Validation data
Reference
Comment
Report error
- Product number
- PA5-63425 - Provider product page

- Provider
- Invitrogen Antibodies
- Product name
- RBM18 Polyclonal Antibody
- Antibody type
- Polyclonal
- Antigen
- Recombinant protein fragment
- Description
- Immunogen sequence: LPLENASILS EGSLQEGHRL WIGNLDPKIT EYHLLKLLQK FGKVKQFDFL FHKSGALEGQ PRGYCFVNFE TKQEAEQAIQ CLNGKLA Highest antigen sequence identity to the following orthologs: Mouse - 100%, Rat - 99%.
- Reactivity
- Human
- Host
- Rabbit
- Isotype
- IgG
- Vial size
- 100 μL
- Concentration
- 0.05 mg/mL
- Storage
- Store at 4°C short term. For long term storage, store at -20°C, avoiding freeze/thaw cycles.
No comments: Submit comment
Supportive validation
- Submitted by
- Invitrogen Antibodies (provider)
- Main image

- Experimental details
- Immunofluorescent staining of RBM18 in human cell line MCF7 shows positivity in nucleus, nucleoli & cytokinetic bridge. Samples were probed using a RBM18 Polyclonal Antibody (Product # PA5-63425).
- Submitted by
- Invitrogen Antibodies (provider)
- Main image

- Experimental details
- Immunofluorescent staining of RBM18 in human cell line MCF7 using a RBM18 Polyclonal Antibody (Product # PA5-63425) shows localization to nucleus, nucleoli fibrillar center and midbody.
- Submitted by
- Invitrogen Antibodies (provider)
- Main image

- Experimental details
- Immunofluorescent staining of RBM18 in human cell line MCF7 using a RBM18 Polyclonal Antibody (Product # PA5-63425) shows localization to nucleus, nucleoli fibrillar center and midbody.
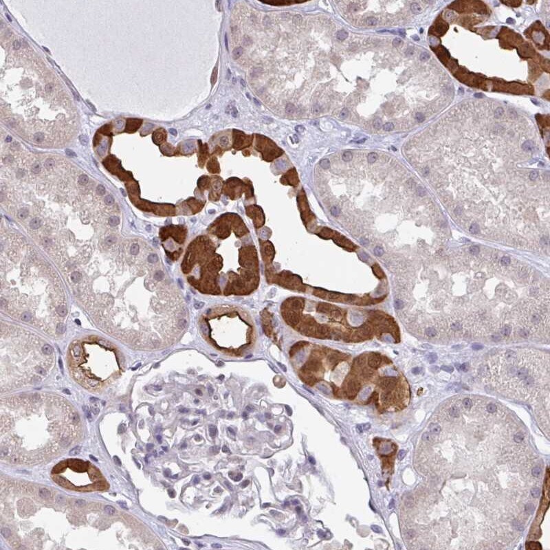
Supportive validation
- Submitted by
- Invitrogen Antibodies (provider)
- Main image

- Experimental details
- Immunohistochemical analysis of RBM18 in human kidney using RBM18 Polyclonal Antibody (Product # PA5-63425) shows strong cytoplasmic and nuclear positivity in subset of tubules.