Antibody data
- Antibody Data
- Antigen structure
- References [0]
- Comments [0]
- Validations
- Western blot [1]
- Immunohistochemistry [1]
Submit
Validation data
Reference
Comment
Report error
- Product number
- OAAB06567 - Provider product page

- Provider
- Aviva Systems Biology
- Product name
- SUMF1 antibody - C-terminal region
- Antibody type
- Polyclonal
- Reactivity
- Human
- Host
- Rabbit
- Vial size
- 400ul
- Storage
- Maintain refrigerated at 2-8 deg C for up to 6 months. For long term storage store at -20 deg C in small aliquots to prevent freeze-thaw cycles.
No comments: Submit comment
Supportive validation
- Submitted by
- Aviva Systems Biology (provider)
- Main image

- Experimental details
- Western blot analysis of SUMF1 Antibody (C-Term) in Hela cell lysates (35ug/lane). SUMF1 (arrow) was detected using the purified Pab.
- Sample type
- Hela cell line lysates
- Primary Ab dilution
- 1.0 µg/mL
- Protocol
- Protocol
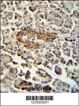
Supportive validation
- Submitted by
- Aviva Systems Biology (provider)
- Main image

- Experimental details
- SUMF1 Antibody (C-Term) immunohistochemistry analysis in formalin fixed and paraffin embedded human pancreas tissue followed by peroxidase conjugation of the secondary antibody and DAB staining. This data demonstrates the use of the SUMF1 Antibody (C-Term) for immunohistochemistry. Clinical relevance has not been evaluated.
- Sample type
- human pancreas tissue
- Primary Ab dilution
- 1.0 µg/mL
- Protocol
- Protocol