Antibody data
- Antibody Data
- Antigen structure
- References [0]
- Comments [0]
- Validations
- Western blot [3]
- Immunocytochemistry [1]
- Immunohistochemistry [5]
Submit
Validation data
Reference
Comment
Report error
- Product number
- R31028 - Provider product page

- Provider
- NSJ Bioreagents
- Product name
- MYBL2 Antibody / B-Myb
- Antibody type
- Polyclonal
- Description
- This highly specific MYBL2 antibody is suitable for use in Western blot/Immunohistochemistry applications with human, mouse and rat samples.
- Reactivity
- Human, Mouse, Rat
- Host
- Rabbit
- Conjugate
- Unconjugated
- Vial size
- 100 ug
- Concentration
- 0.5mg/ml if reconstituted with 0.2ml sterile DI water
- Storage
- After reconstitution, the MYBL2 antibody can be stored for up to one month at 4oC. For long-term, aliquot and store at -20oC. Avoid repeated freezing and thawing.
No comments: Submit comment
Supportive validation
- Submitted by
- NSJ Bioreagents (provider)
- Main image

- Experimental details
- Western blot testing with MYBL2 antibody; Lane 1: rat spleen; 2: (r) thymus; 3: (r) brain; 4: human HeLa; 5: (h) COLO320; 6: (h) MCF-7 cell lysate. Expected size ~79KD
- Submitted by
- NSJ Bioreagents (provider)
- Main image

- Experimental details
- Western blot testing with MYBL2 antibody and recombinant protein, 47KD with tag; Lane 1: Recombinant protein at 10ng; 2: 5ng; 3: 2.5ng
- Submitted by
- NSJ Bioreagents (provider)
- Main image

- Experimental details
- Western blot testing of human Raji cell lysate with MYBL2 antibody. Predicted molecular weight: ~79 kDa, may also be observed at 100~110 kDa.
Supportive validation
- Submitted by
- NSJ Bioreagents (provider)
- Main image

- Experimental details
- ICC testing of MYBL2 antibody and A549 cells
Supportive validation
- Submitted by
- NSJ Bioreagents (provider)
- Main image

- Experimental details
- IHC-P: MYBL2 antibody testing of human tonsil tissue. HIER: steamed with pH6 citrate buffer.
- Submitted by
- NSJ Bioreagents (provider)
- Main image

- Experimental details
- IHC-P: MYBL2 antibody testing of rat brain tissue. HIER: steamed with pH6 citrate buffer.
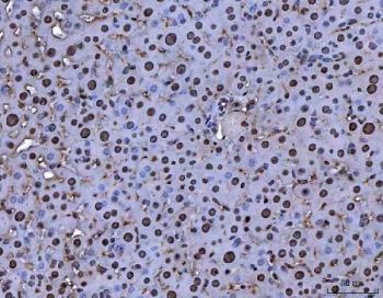
- Submitted by
- NSJ Bioreagents (provider)
- Main image

- Experimental details
- IHC staining of FFPE mouse liver tissue with MYBL2 antibody. HIER: boil tissue sections in pH8 EDTA for 20 min and allow to cool before testing.
- Submitted by
- NSJ Bioreagents (provider)
- Main image

- Experimental details
- IHC staining of FFPE rat liver tissue with MYBL2 antibody. HIER: boil tissue sections in pH8 EDTA for 20 min and allow to cool before testing.
- Submitted by
- NSJ Bioreagents (provider)
- Main image

- Experimental details
- IHC staining of FFPE human tonsil tissue with MYBL2 antibody. HIER: boil tissue sections in pH8 EDTA for 20 min and allow to cool before testing.