PA5-39492
antibody from Invitrogen Antibodies
Targeting: CCT6A
CCT6, Cctz, HTR3, TCP20, TCPZ, TTCP20
Antibody data
- Antibody Data
- Antigen structure
- References [0]
- Comments [0]
- Validations
- Western blot [2]
- Immunohistochemistry [1]
Submit
Validation data
Reference
Comment
Report error
- Product number
- PA5-39492 - Provider product page

- Provider
- Invitrogen Antibodies
- Product name
- Anti-TCP-1 zeta Polyclonal Antibody
- Antibody type
- Polyclonal
- Antigen
- Synthetic peptide
- Reactivity
- Human, Mouse, Rat
- Host
- Rabbit
- Isotype
- IgG
- Vial size
- 100 µg
- Concentration
- 1 mg/mL
- Storage
- -20°C
No comments: Submit comment
Supportive validation
- Submitted by
- Invitrogen Antibodies (provider)
- Main image

- Experimental details
- Western blot analysis of TCP-1 zeta/CCT6A in extracts from HepG2 cells using a TCP-1 zeta/CCT6A polyclonal antibody (Product # PA5-39492).
- Submitted by
- Invitrogen Antibodies (provider)
- Main image

- Experimental details
- Western blot analysis of TCP-1 zeta/CCT6A in extracts from COS7 cells and 293 cells using a TCP-1 zeta/CCT6A polyclonal antibody (Product # PA5-39492).
Supportive validation
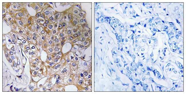
- Submitted by
- Invitrogen Antibodies (provider)
- Main image

- Experimental details
- Immunohistochemical analysis of TCP-1 zeta/CCT6A in paraffin-embedded human breast carcinoma using a TCP-1 zeta/CCT6A polyclonal antibody (Product # PA5-39492).