Antibody data
- Antibody Data
- Antigen structure
- References [0]
- Comments [0]
- Validations
- Western blot [1]
- Immunoprecipitation [1]
- Immunohistochemistry [2]
Submit
Validation data
Reference
Comment
Report error
- Product number
- NBP2-32204 - Provider product page

- Provider
- Novus Biologicals
- Product name
- Rabbit Polyclonal DLST Antibody
- Antibody type
- Polyclonal
- Description
- Immunogen affinity purified.
- Reactivity
- Human, Mouse
- Host
- Rabbit
- Isotype
- IgG
- Vial size
- 100 ul
- Concentration
- 1.0 mg/ml
- Storage
- Store at 4C. Do not freeze.
No comments: Submit comment
Supportive validation
- Submitted by
- Novus Biologicals (provider)
- Main image

- Experimental details
- Western Blot: DLST Antibody [NBP2-32204] - Samples: Whole cell lysate (50 ug) from HeLa, 293T, Jurkat, mouse TCMK-1, and mouse NIH3T3 cells. Antibodies: Affinity purified rabbit anti-DLST antibody NBP2-32204 used for WB at 0.1 ug/ml. Detection: Chemiluminescence with an exposure time of 30 seconds.
Supportive validation
- Submitted by
- Novus Biologicals (provider)
- Main image

- Experimental details
- Immunoprecipitation: DLST Antibody [NBP2-32204] - Samples: Whole cell lysate (0.5 or 1.0 mg per IP reaction; 20% of IP loaded) from Jurkat cells. Antibodies: Affinity purified rabbit anti-DLST antibody NBP2-32204 used for IP at 6 ug per reaction. For blotting immunoprecipitated DLST, NBP2-32204 was used at 1 ug/ml. Detection: Chemiluminescence with an exposure time of 3 seconds.
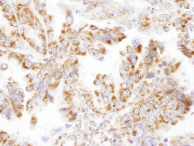
Supportive validation
- Submitted by
- Novus Biologicals (provider)
- Main image

- Experimental details
- Immunohistochemistry: DLST Antibody [NBP2-32204] - Sample: FFPE section of human ovarian carcinoma. Antibody: Affinity purified rabbit anti- DLST used at a dilution of 1:1,000 (1ug/ml). Detection: DAB. Counterstain: IHC Hematoxylin (blue).
- Submitted by
- Novus Biologicals (provider)
- Main image

- Experimental details
- Immunohistochemistry: DLST Antibody [NBP2-32204] - Sample: FFPE section of human lung cancer. Antibody: Affinity purified rabbit anti- DLST used at a dilution of 1:1,000 (1ug/ml). Detection: DAB. Counterstain: IHC Hematoxylin (blue).