Antibody data
- Antibody Data
- Antigen structure
- References [0]
- Comments [0]
- Validations
- Immunocytochemistry [2]
- Immunohistochemistry [4]
Submit
Validation data
Reference
Comment
Report error
- Product number
- PA5-62693 - Provider product page

- Provider
- Invitrogen Antibodies
- Product name
- NCCRP1 Polyclonal Antibody
- Antibody type
- Polyclonal
- Antigen
- Recombinant protein fragment
- Description
- Immunogen sequence: RNLLRSPNPE GINIYEPAPP TGPTQRPLET LGNFRGWYIR TEKLQQNQSW TVKQQCVDLL Highest antigen sequence identity to the following orthologs: Mouse - 77%, Rat - 78%.
- Reactivity
- Human
- Host
- Rabbit
- Isotype
- IgG
- Vial size
- 100 μL
- Concentration
- 0.1 mg/mL
- Storage
- Store at 4°C short term. For long term storage, store at -20°C, avoiding freeze/thaw cycles.
No comments: Submit comment
Supportive validation
- Submitted by
- Invitrogen Antibodies (provider)
- Main image

- Experimental details
- Immunofluorescent staining of NCCRP1 in human cell line U-2 OS using a NCCRP1 Polyclonal Antibody (Product # PA5-62693) shows localization to mitochondria.
- Submitted by
- Invitrogen Antibodies (provider)
- Main image

- Experimental details
- Immunofluorescent staining of NCCRP1 in human cell line U-2 OS using a NCCRP1 Polyclonal Antibody (Product # PA5-62693) shows localization to mitochondria.
Supportive validation
- Submitted by
- Invitrogen Antibodies (provider)
- Main image

- Experimental details
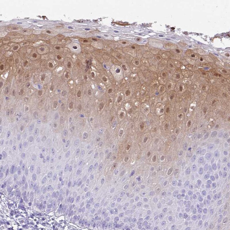
- Immunohistochemical staining of NCCRP1 in human cervix, uterine using NCCRP1 Polyclonal Antibody (Product # PA5-62693) shows positivity in squamous epithelial cells.
- Submitted by
- Invitrogen Antibodies (provider)
- Main image

- Experimental details
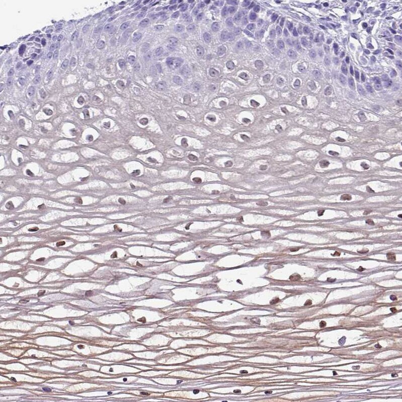
- Immunohistochemical staining of NCCRP1 in human skin using NCCRP1 Polyclonal Antibody (Product # PA5-62693) shows moderate positivity in squamous epithelial cells.
- Submitted by
- Invitrogen Antibodies (provider)
- Main image

- Experimental details
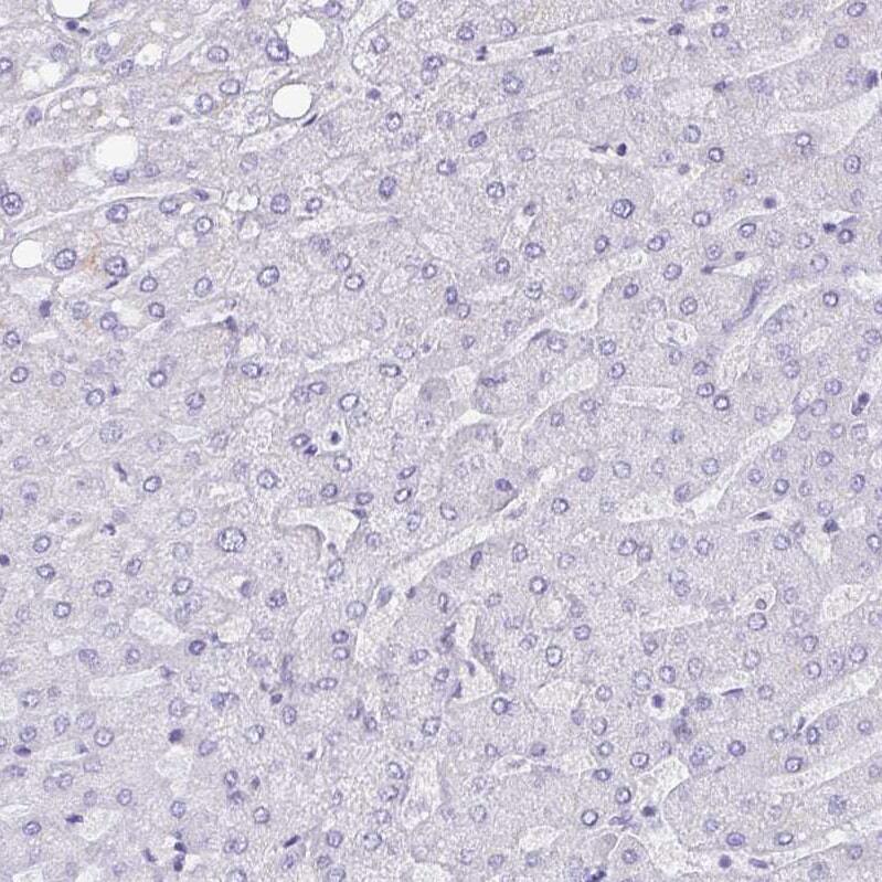
- Immunohistochemical staining of NCCRP1 in human liver using NCCRP1 Polyclonal Antibody (Product # PA5-62693) shows no positivity in hepatocytes as expected.
- Submitted by
- Invitrogen Antibodies (provider)
- Main image

- Experimental details
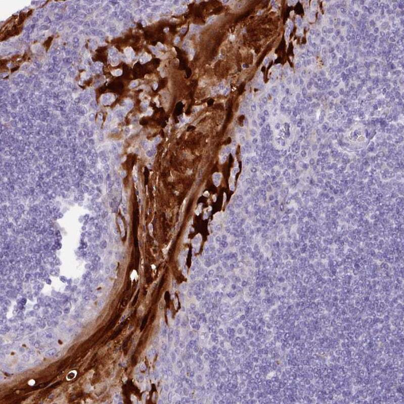
- Immunohistochemical staining of NCCRP1 in human tonsil using NCCRP1 Polyclonal Antibody (Product # PA5-62693) shows strong cytoplasmic positivity in squamous epithelial cells.