Antibody data
- Antibody Data
- Antigen structure
- References [3]
- Comments [0]
- Validations
- Immunohistochemistry [1]
Submit
Validation data
Reference
Comment
Report error
- Product number
- bs-0800R - Provider product page

- Provider
- Bioss
- Proper citation
- Bioss Cat#bs-0800R, RRID:AB_10857780
- Product name
- Angiopoietin 1 Polyclonal Antibody
- Antibody type
- Polyclonal
- Description
- KLH conjugated synthetic peptide derived from mouse Angiopoietin 1
- Reactivity
- Human, Mouse, Rat, Porcine
- Host
- Rabbit
- Conjugate
- Unconjugated
- Isotype
- IgG
- Vial size
- 100ul
- Concentration
- 1ug/ul
- Storage
- Aqueous buffered solution containing 1% BSA, 50% glycerol and 0.09% sodium azide. Store at -20°C for 12 months.
Submitted references Endosulfan induces cell dysfunction through cycle arrest resulting from DNA damage and DNA damage response signaling pathways.
Immune activation during the implantation phase causes preeclampsia-like symptoms via the CD40-CD40 ligand pathway in pregnant mice.
Is a swine model of arteriovenous malformation suitable for human extracranial arteriovenous malformation? A preliminary study.
Wei J, Zhang L, Ren L, Zhang J, Liu J, Duan J, Yu Y, Li Y, Peng C, Zhou X, Sun Z
The Science of the total environment 2017 Jul 1;589:97-106
The Science of the total environment 2017 Jul 1;589:97-106
Immune activation during the implantation phase causes preeclampsia-like symptoms via the CD40-CD40 ligand pathway in pregnant mice.
Matsubara K, Matsubara Y, Mori M, Uchikura Y, Hamada K, Fujioka T, Hashimoto H, Matsumoto T
Hypertension research : official journal of the Japanese Society of Hypertension 2016 Jun;39(6):407-14
Hypertension research : official journal of the Japanese Society of Hypertension 2016 Jun;39(6):407-14
Is a swine model of arteriovenous malformation suitable for human extracranial arteriovenous malformation? A preliminary study.
Lv MM, Fan XD, Su LX
Cardiovascular and interventional radiology 2013 Oct;36(5):1364-70
Cardiovascular and interventional radiology 2013 Oct;36(5):1364-70
No comments: Submit comment
Supportive validation
- Submitted by
- Bioss (provider)
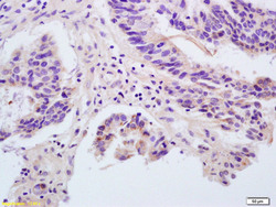
- Main image

- Experimental details
- Formalin-fixed and paraffin embedded human rectal carcinoma labeled with Rabbit Anti ANGPTL1/Angiopoietin 1/ANG-1 Polyclonal Antibody, Unconjugated (bs-0800R) at 1:200 followed by conjugation to the secondary antibody and DAB staining
- Sample type
- Human
- Other comments
- Colon