Antibody data
- Antibody Data
- Antigen structure
- References [0]
- Comments [0]
- Validations
- Immunohistochemistry [3]
Submit
Validation data
Reference
Comment
Report error
- Product number
- BS-0800R - Provider product page

- Provider
- Invitrogen Antibodies
- Product name
- Angiopoietin 1 Polyclonal Antibody
- Antibody type
- Polyclonal
- Antigen
- Synthetic peptide
- Reactivity
- Human, Mouse, Rat, Porcine
- Host
- Rabbit
- Isotype
- IgG
- Vial size
- 100 µL
- Concentration
- 1 mg/mL
- Storage
- -20°C
No comments: Submit comment
Supportive validation
- Submitted by
- Invitrogen Antibodies (provider)
- Main image

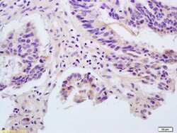
- Experimental details
- Formalin-fixed and paraffin embedded human rectal carcinoma labeled with Rabbit Anti ANGPTL1/Angiopoietin 1/ANG-1 Polyclonal Antibody, Unconjugated (bs-0800R) at 1:200 followed by conjugation to the secondary antibody and DAB staining.
- Submitted by
- Invitrogen Antibodies (provider)
- Main image

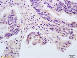
- Experimental details
- Formalin-fixed and paraffin embedded human rectal carcinoma labeled with Rabbit Anti ANGPTL1/Angiopoietin 1/ANG-1 Polyclonal Antibody, Unconjugated (bs-0800R) at 1:200 followed by conjugation to the secondary antibody and DAB staining.
- Submitted by
- Invitrogen Antibodies (provider)
- Main image

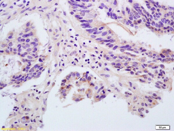
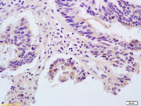
- Experimental details
- Paraformaldehyde-fixed, paraffin embedded (human kidney); Antigen retrieval by boiling in sodium citrate buffer (pH6.0) for 15min; Block endogenous peroxidase by 3% hydrogen peroxide for 20 minutes; Blocking buffer (normal goat serum) at 37°C for 30min; Antibody incubation with (Angiopoietin-1) Polyclonal Antibody, Unconjugated (bs-0800R) at 1:200 overnight at 4°C, followed by a conjugated secondary (sp-0023) for 20 minutes and DAB staining.