Antibody data
- Antibody Data
 - Antigen structure
 - References [0]
 - Comments [0]
 - Validations
 - Western blot [1]
 - Immunocytochemistry [1]
 - Immunohistochemistry [1]
 - Flow cytometry [1]
 
Submit
Validation data
Reference
Comment
Report error
- Product number
 - GTX17408 - Provider product page

 - Provider
 - GeneTex
 - Product name
 - Endothelin B Receptor antibody
 - Antibody type
 - Polyclonal
 - Reactivity
 - Human, Mouse
 - Host
 - Rabbit
 
				No comments: Submit comment	
	
			
							
					Supportive validation
					
									
				
				- Submitted by
 - GeneTex (provider)
 - Main image
 
- Experimental details
 - Western blot analysis of EDNRB Antibody (C-term) in mouse cerebellum tissue lysates (35μg/lane). EDNRB (arrow) was detected using the purified Pab.
 
							
					Supportive validation
					
									
				
				- Submitted by
 - GeneTex (provider)
 - Main image
 
- Experimental details
 - Confocal immunofluorescent analysis of EDNRB Antibody (C-term) with 293 cell followed by Alexa Fluor?488-conjμgated goat anti-rabbit lgG (green). DAPI was used to stain the cell nuclear (blue).
 
							
					Supportive validation
					
									
				
				- Submitted by
 - GeneTex (provider)
 - Main image
 
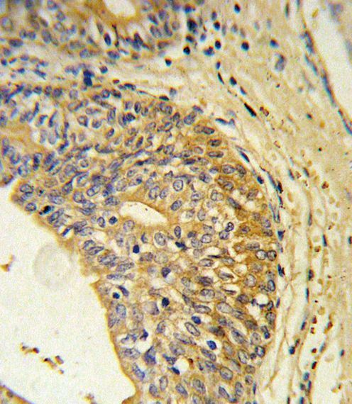
- Experimental details
 - EDNRB Antibody (C-term) immunohistochemistry analysis in formalin fixed and paraffin embedded human prostate carcinoma followed by peroxidase conjμgation of the secondary antibody and DAB staining.This data demonstrates the use of EDNRB Antibody (C-term) for immunohistochemistry. Clinical relevance has not been evaluated.
 
							
					Supportive validation
					
									
				
		- Submitted by
 - GeneTex (provider)
 - Main image
 
- Experimental details
 - EDNRB Antibody (C-term) flow cytometric analysis of MDA-MB435 cells (bottom histogram) compared to a negative control cell (top histogram).FITC-conjμgated goat-anti-rabbit secondary antibodies were used for the analysis.