Antibody data
- Antibody Data
- Antigen structure
- References [0]
- Comments [0]
- Validations
- Western blot [1]
- Immunohistochemistry [2]
Submit
Validation data
Reference
Comment
Report error
- Product number
- LS-C359327 - Provider product page

- Provider
- LSBio
- Product name
- SHH / Sonic Hedgehog Antibody (aa1-75) LS-C359327
- Antibody type
- Polyclonal
- Description
- Immunoaffinity purified
- Reactivity
- Human, Mouse, Rat, Simian
- Host
- Rabbit
- Storage
- Short term: store at 4°C. Long term: aliquot and store at -20°C. Avoid freeze-thaw cycles.
No comments: Submit comment
Enhanced validation
- Submitted by
- LSBio (provider)
- Enhanced method
- Genetic validation
- Main image

- Experimental details
- Western Blot: Sonic Hedgehog Antibody - WB detection of Sonic Hedgehog in A. human stomach, B. human fetal liver membrane, C. PC12 and D. Cos7
Supportive validation
- Submitted by
- LSBio (provider)
- Enhanced method
- Genetic validation
- Main image

- Experimental details
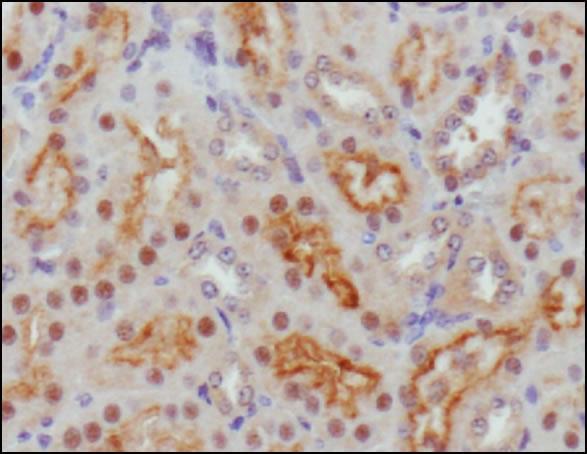
- Immunohistochemistry: Sonic Hedgehog Antibody - IHC analysis of Sonic Hedgehog in mouse kidney.
- Submitted by
- LSBio (provider)
- Enhanced method
- Genetic validation
- Main image

- Experimental details
- Immunohistochemistry: Sonic Hedgehog Antibody - IHC analysis of Sonic Hedgehog in mouse kidney.