Antibody data
- Antibody Data
- Antigen structure
- References [0]
- Comments [0]
- Validations
- Immunohistochemistry [8]
Submit
Validation data
Reference
Comment
Report error
- Product number
- NBP2-33895 - Provider product page

- Provider
- Novus Biologicals
- Product name
- Rabbit Polyclonal LAMC3 Antibody
- Antibody type
- Polyclonal
- Description
- Immunogen affinity purified. Specificity of human LAMC3 antibody verified on a Protein Array containing target protein plus 383 other non-specific proteins.
- Reactivity
- Human
- Host
- Rabbit
- Isotype
- IgG
- Vial size
- 0.1 ml
- Storage
- Store at 4C short term. Aliquot and store at -20C long term. Avoid freeze-thaw cycles.
No comments: Submit comment
Supportive validation
- Submitted by
- Novus Biologicals (provider)
- Main image

- Experimental details
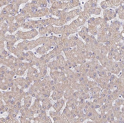
- Immunohistochemistry: LAMC3 Antibody [NBP2-33895] - Staining of human liver shows moderate cytoplasmic positivity in hepatocyte.
- Submitted by
- Novus Biologicals (provider)
- Main image

- Experimental details
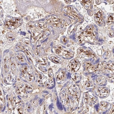
- Immunohistochemistry-Paraffin: LAMC3 Antibody [NBP2-33895] - Staining of human placenta shows high expression.
- Submitted by
- Novus Biologicals (provider)
- Main image

- Experimental details
- Immunohistochemistry-Paraffin: LAMC3 Antibody [NBP2-33895] - Staining of human tonsil shows low expression as expected.
- Submitted by
- Novus Biologicals (provider)
- Main image

- Experimental details
- Immunohistochemistry-Paraffin: LAMC3 Antibody [NBP2-33895] - Analysis in human placenta and skeletal muscle tissues. Corresponding LAMC3 RNA-seq data are presented for the same tissues.
- Submitted by
- Novus Biologicals (provider)
- Main image

- Experimental details
- Immunohistochemistry-Paraffin: LAMC3 Antibody [NBP2-33895] - Staining of human liver shows weak cytoplasmic positivity in hepatocytes.
- Submitted by
- Novus Biologicals (provider)
- Main image

- Experimental details
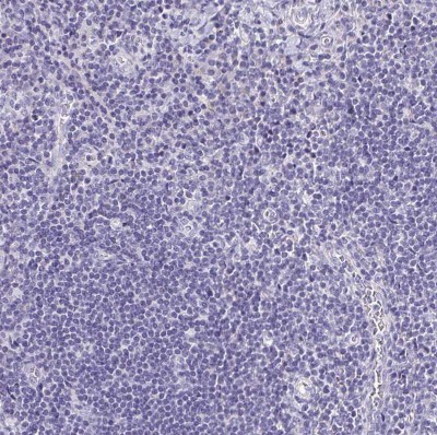
- Immunohistochemistry-Paraffin: LAMC3 Antibody [NBP2-33895] - Staining of human lymph node shows no positivity in non-germinal center cells as expected.
- Submitted by
- Novus Biologicals (provider)
- Main image

- Experimental details
- Immunohistochemistry-Paraffin: LAMC3 Antibody [NBP2-33895] - Staining of human placenta shows strong positivity in secretion in chorionic villi.
- Submitted by
- Novus Biologicals (provider)
- Main image

- Experimental details
- Immunohistochemistry-Paraffin: LAMC3 Antibody [NBP2-33895] - Staining of human skeletal muscle shows no positivity in myocytes as expected.