Antibody data
- Antibody Data
- Antigen structure
- References [0]
- Comments [0]
- Validations
- Western blot [1]
- Immunohistochemistry [1]
Submit
Validation data
Reference
Comment
Report error
- Product number
- AP02496PU-N - Provider product page

- Provider
- Acris Antibodies GmbH
- Proper citation
- Acris Antibodies GmbH Cat#AP02496PU-N, RRID:AB_1610168
- Product name
- anti BRCA1 / RNF53 pSer1423
- Antibody type
- Polyclonal
- Antigen
- The antiserum was produced against synthesized phosphopeptide derived from human BRCA1 around the phosphorylation site of serine 1423 (H-G-SP-Q-P).
- Reactivity
- Human
- Host
- Rabbit
- Vial size
- 0.1 ml
- Concentration
- 1.0 mg/ml
No comments: Submit comment
Supportive validation
- Submitted by
- Acris Antibodies GmbH (provider)
- Main image

- Experimental details
- Western blot analysis of extracts from K562 cells treated with UV (20min), using BRCA1 antibody (AP02496PU-S; AP02496PU-N).
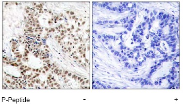
Supportive validation
- Submitted by
- Acris Antibodies GmbH (provider)
- Main image

- Experimental details
- Immunohistochemical analysis of paraffin-embedded human breast carcinoma tissue, using BRCA1 antibody (AP02496PU-S; AP02496PU-N).