Antibody data
- Antibody Data
- Antigen structure
- References [3]
- Comments [0]
- Validations
- Western blot [1]
- Immunohistochemistry [1]
Submit
Validation data
Reference
Comment
Report error
- Product number
- ABIN359407 - Provider product page

- Provider
- antibodies-online
- Product name
- anti-Calcium/calmodulin-Dependent serine Protein Kinase (MAGUK Family) (CASK) (C-Term) antibody
- Antibody type
- Polyclonal
- Antigen
- This antibody is generated from rabbits immunized with a KLH conjugated synthetic peptide selected from the C-terminal region of human CASK.
- Description
- Protein G Chromatography, eluted with high and low pH buffers and neutralized immediately, followed by dialysis against PBS.
- Reactivity
- Human, Mouse
- Host
- Rabbit
- Epitope
- C-Term
- Vial size
- 0.4 mL
- Concentration
- 0.25 mg/mL
- Storage
- Store the antibody undiluted at 2-8°C for one month or (in aliquots) at-20°C for longer.
- Handling
- Avoid repeated freezing and thawing.
Submitted references Mapping and expression analysis of the human CASK gene.
Human CASK/LIN-2 binds syndecan-2 and protein 4.1 and localizes to the basolateral membrane of epithelial cells.
Crystal structure of the hCASK PDZ domain reveals the structural basis of class II PDZ domain target recognition.
Stevenson D, Laverty HG, Wenwieser S, Douglas M, Wilson JB
Mammalian genome : official journal of the International Mammalian Genome Society 2000 Oct;11(10):934-7
Mammalian genome : official journal of the International Mammalian Genome Society 2000 Oct;11(10):934-7
Human CASK/LIN-2 binds syndecan-2 and protein 4.1 and localizes to the basolateral membrane of epithelial cells.
Cohen AR, Woods DF, Marfatia SM, Walther Z, Chishti AH, Anderson JM
The Journal of cell biology 1998 Jul 13;142(1):129-38
The Journal of cell biology 1998 Jul 13;142(1):129-38
Crystal structure of the hCASK PDZ domain reveals the structural basis of class II PDZ domain target recognition.
Daniels DL, Cohen AR, Anderson JM, BrĂ¼nger AT
Nature structural biology 1998 Apr;5(4):317-25
Nature structural biology 1998 Apr;5(4):317-25
No comments: Submit comment
Supportive validation
- Submitted by
- antibodies-online (provider)
- Main image

- Experimental details
- Western blot analysis of CASK (arrow) using Cask Antibody (C-term) (AP13891PU-N). 293 cell lysates (2 μg/lane) either nontransfected (Lane 1) or transiently transfected with the CASK gene (Lane 2) (Origene Technologies).
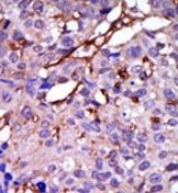
Supportive validation
- Submitted by
- antibodies-online (provider)
- Main image

- Experimental details
- Formalin-fixed and paraffin-embedded human cancer tissue (breast carcinoma) reacted with the primary antibody, which was peroxidase-conjugated to the secondary antibody, followed by DAB staining. This data demonstrates the use of this antibody for immunohistochemistry; clinical relevance has not been evaluated.