Antibody data
- Antibody Data
- Antigen structure
- References [0]
- Comments [0]
- Validations
- Western blot [2]
- ELISA [1]
- Flow cytometry [1]
Submit
Validation data
Reference
Comment
Report error
- Product number
- NBP2-37520 - Provider product page

- Provider
- Novus Biologicals
- Product name
- Mouse Monoclonal Argininosuccinate Synthase Antibody
- Antibody type
- Monoclonal
- Description
- Protein A or G purified.
- Reactivity
- Human, Mouse, Rat, Simian
- Host
- Mouse
- Isotype
- IgG
- Vial size
- 0.1 ml
- Concentration
- 1 mg/ml
- Storage
- Store at 4C short term. Aliquot and store at -20C long term. Avoid freeze-thaw cycles.
No comments: Submit comment
Supportive validation
- Submitted by
- Novus Biologicals (provider)
- Main image

- Experimental details
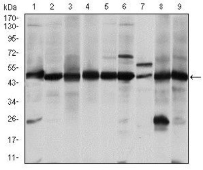
- Western Blot: Argininosuccinate Synthase Antibody (2B10) [NBP2-37520] - Analysis using ASS1 mouse mAb against A431 (1), RAJI (2), L1210 (3), MOLT4 (4), Jurkat (5), A549 (6), NIH/3T3 (7), PC-12 (8) and Cos7 (9) cell lysate.
- Submitted by
- Novus Biologicals (provider)
- Main image

- Experimental details
- Western Blot: Argininosuccinate Synthase Antibody (2B10) [NBP2-37520] - Analysis using ASS1 mAb against human ASS1 (AA: 40-236) recombinant protein. (Expected MW is 47 kDa)
Supportive validation
- Submitted by
- Novus Biologicals (provider)
- Main image

- Experimental details
- ELISA: Argininosuccinate Synthase Antibody (2B10) [NBP2-37520] - Red: Control Antigen (100ng); Purple: Antigen (10ng); Green: Antigen (50ng); Blue: Antigen (100ng);
Supportive validation
- Submitted by
- Novus Biologicals (provider)
- Main image

- Experimental details
- Flow Cytometry: Argininosuccinate Synthase Antibody (2B10) [NBP2-37520] - Analysis of Jurkat cells using ASS1 mouse mAb (green) and negative control (red).