Antibody data
- Antibody Data
- Antigen structure
- References [0]
- Comments [0]
- Validations
- Immunocytochemistry [3]
- Immunohistochemistry [1]
Submit
Validation data
Reference
Comment
Report error
- Product number
- PA5-21011 - Provider product page

- Provider
- Invitrogen Antibodies
- Product name
- TRIM71 Polyclonal Antibody
- Antibody type
- Polyclonal
- Antigen
- Synthetic peptide
- Description
- A suggested positive control is human brain tissue lysate. PA5-21011 can be used with blocking peptide PEP-1125. Antibodies should not be exposed to prolonged high temperatures.
- Reactivity
- Human, Mouse, Rat
- Host
- Rabbit
- Isotype
- IgG
- Vial size
- 100 μg
- Concentration
- 1 mg/mL
- Storage
- 4°C
No comments: Submit comment
Supportive validation
- Submitted by
- Invitrogen Antibodies (provider)
- Main image

- Experimental details
- Immunofluorescent analysis of human brain cells using a TRIM71 polyclonal antibody (Product # PA5-21011) at a 20 µg/mL dilution.
- Submitted by
- Invitrogen Antibodies (provider)
- Main image

- Experimental details
- Immunofluorescence of TRIM71 in Human Brain cells with TRIM71 Polyclonal Antibody (Product # PA5-21011) at 20 µg/mL.
- Submitted by
- Invitrogen Antibodies (provider)
- Main image

- Experimental details
- Immunofluorescence of TRIM71 in Human Brain cells with TRIM71 Polyclonal Antibody (Product # PA5-21011) at 20 µg/mL.
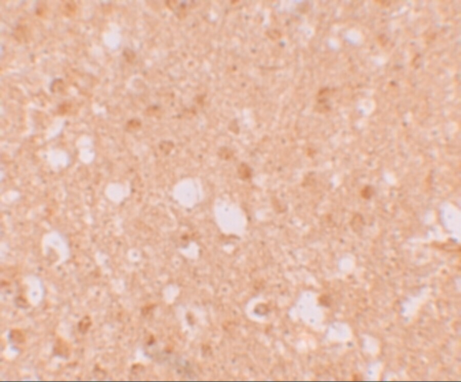
Supportive validation
- Submitted by
- Invitrogen Antibodies (provider)
- Main image

- Experimental details
- Immunohistochemistry of TRIM71 in human brain tissue with TRIM71 Polyclonal Antibody (Product # PA5-21011) at 5 µg/mL.