Antibody data
- Antibody Data
- Antigen structure
- References [0]
- Comments [0]
- Validations
- Western blot [1]
- Immunohistochemistry [2]
Submit
Validation data
Reference
Comment
Report error
- Product number
- LS-C435892 - Provider product page

- Provider
- LSBio
- Product name
- KCNAB2 / Kv-Beta-2 Antibody (aa121-170, FITC) LS-C435892
- Antibody type
- Polyclonal
- Description
- Protein A purified
- Reactivity
- Human, Mouse, Rat, Bovine, Canine, Chicken/Avian, Guinea Pig, Horse, Porcine, Rabbit, Simian, Xenopus, Zebrafish
- Host
- Rabbit
- Conjugate
- Green dye
- Isotype
- IgG
- Storage
- Short term: store at 4°C. Long term: add glycerol to 40-50%, aliquot to avoid freeze-thaw cycles, and store at -20°C. Protect from light.
No comments: Submit comment
Enhanced validation
- Submitted by
- LSBio (provider)
- Enhanced method
- Genetic validation
- Main image

- Experimental details
- A: Marker, B: Jurkat Cell Lysate. This image was taken for the unconjugated form of this product. Other forms have not been tested.
Supportive validation
- Submitted by
- LSBio (provider)
- Enhanced method
- Genetic validation
- Main image

- Experimental details
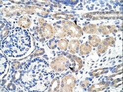
- KCNAB2 antibody ARP37678_T100-NP_003627-KCNAB2 (potassium voltage-gated channel, shaker-related subfamily, beta member 2) Antibody was used in IHC to stain formalin-fixed, paraffin-embedded human kidney. This image was taken for the unconjugated form of this product. Other forms have not been tested.
- Submitted by
- LSBio (provider)
- Enhanced method
- Genetic validation
- Main image

- Experimental details
- KCNAB2 antibody ARP37678_T100-NP_003627-KCNAB2 (potassium voltage-gated channel, shaker-related subfamily, beta member 2) Antibody was used in IHC to stain formalin-fixed, paraffin-embedded human kidney. This image was taken for the unconjugated form of this product. Other forms have not been tested.