Antibody data
- Antibody Data
- Antigen structure
- References [0]
- Comments [0]
- Validations
- Western blot [1]
- Immunohistochemistry [1]
Submit
Validation data
Reference
Comment
Report error
- Product number
- TA324017 - Provider product page

- Provider
- OriGene
- Product name
- Anti-FAM3A Rabbit Polyclonal Antibody
- Antibody type
- Polyclonal
- Description
- Anti-FAM3A Rabbit Polyclonal Antibody
- Host
- Rabbit
- Conjugate
- Unconjugated
- Epitope
- FAM3A
- Isotype
- IgG
- Antibody clone number
- NULL
- Vial size
- 100 µl
- Concentration
- 0.8mg/ml
No comments: Submit comment
Supportive validation
- Submitted by
- OriGene (provider)
- Main image

- Experimental details
- Predicted band size: 25 kDa . Positive control: Human fetal brain tissue lysate. Recommended dilution: 1/200-1000. (Gel: 12%SDS-PAGE Lysate: 50 ug per lane Primary antibody: 1/200dilution Secondary antibody: Goat anti Rabbit IgG - H&L (HRP) at 1/10000 dilution Exposure time: 5 minutes)
- Validation comment
- WB
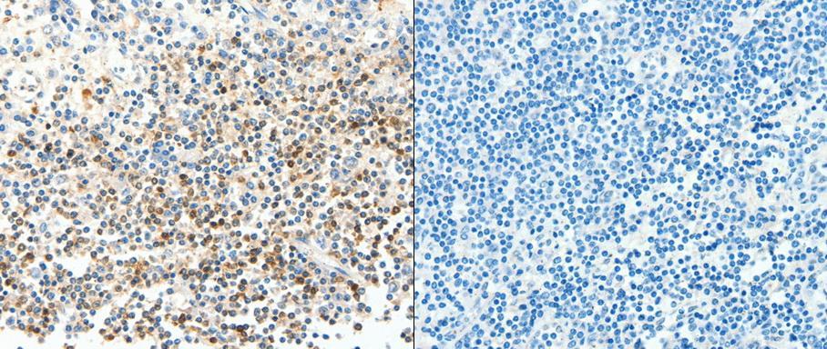
Supportive validation
- Submitted by
- OriGene (provider)
- Main image

- Experimental details
- Predicted cell location: Cytoplasm. Positive control: Human tonsil tissue. Recommended dilution: 1/15-50 The image on the left is immunohistochemistry of paraffin-embedded human tonsil tissue using FAM3A antibody at dilution 1/25, on the right is treated with the fusion protein. (Original magnification: x200)
- Validation comment
- IHC