Antibody data
- Antibody Data
- Antigen structure
- References [0]
- Comments [0]
- Validations
- Immunohistochemistry [3]
- Flow cytometry [2]
Submit
Validation data
Reference
Comment
Report error
- Product number
- MA5-32880 - Provider product page

- Provider
- Invitrogen Antibodies
- Product name
- FAM3A Monoclonal Antibody (7-B9)
- Antibody type
- Monoclonal
- Antigen
- Recombinant full-length protein
- Reactivity
- Human, Mouse, Rat
- Host
- Mouse
- Isotype
- IgG
- Antibody clone number
- 7-B9
- Vial size
- 100 μL
- Concentration
- 2 mg/mL
- Storage
- Store at 4°C short term. For long term storage, store at -20°C, avoiding freeze/thaw cycles.
No comments: Submit comment
Supportive validation
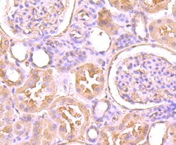
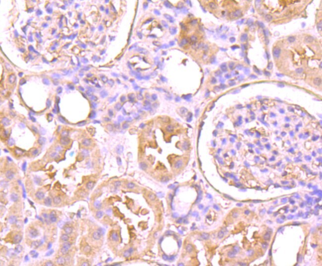
- Submitted by
- Invitrogen Antibodies (provider)
- Main image

- Experimental details
- Immunohistochemical analysis of FAM3A of paraffin-embedded Human kidney tissue using a FAM3A Monoclonal antibody (Product #MA5-32880). Counter stained with hematoxylin.
- Submitted by
- Invitrogen Antibodies (provider)
- Main image

- Experimental details
- Immunohistochemical analysis of FAM3A of paraffin-embedded Human fetal skeletal muscle tissue using a FAM3A Monoclonal antibody (Product #MA5-32880). Counter stained with hematoxylin.
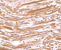
- Submitted by
- Invitrogen Antibodies (provider)
- Main image

- Experimental details
- Immunohistochemical analysis of FAM3A of paraffin-embedded Mouse heart tissue using a FAM3A Monoclonal antibody (Product #MA5-32880). Counter stained with hematoxylin.
Supportive validation
- Submitted by
- Invitrogen Antibodies (provider)
- Main image

- Experimental details
- Flow Cytometric analysis of FAM3A in A431 cells using a FAM3A Monoclonal Antibody (Product # MA5-32880) at a dilution of 1:100, as seen in red compared with an unlabelled control (cells without incubation with primary antibody; black).
- Submitted by
- Invitrogen Antibodies (provider)
- Main image

- Experimental details
- Flow Cytometric analysis of FAM3A in A431 cells using a FAM3A Monoclonal Antibody (Product # MA5-32880) at a dilution of 1:100, as seen in red compared with an unlabelled control (cells without incubation with primary antibody; black).