Antibody data
- Antibody Data
- Antigen structure
- References [0]
- Comments [0]
- Validations
- Western blot [1]
- Immunocytochemistry [1]
- Immunohistochemistry [2]
Submit
Validation data
Reference
Comment
Report error
- Product number
- 20780-1-AP - Provider product page

- Provider
- Proteintech Group
- Proper citation
- Proteintech Cat#20780-1-AP, RRID:AB_10755147
- Product name
- C11orf70 antibody
- Antibody type
- Polyclonal
- Description
- C11orf70 antibody (Cat. #20780-1-AP) is a rabbit polyclonal antibody that shows reactivity with human, mouse and has been validated for the following applications: IF, IHC, WB,ELISA.
- Reactivity
- Human, Mouse
- Host
- Rabbit
- Conjugate
- Unconjugated
- Isotype
- IgG
- Vial size
- 20ul, 150ul
No comments: Submit comment
Supportive validation
- Submitted by
- Proteintech Group (provider)
- Main image

- Experimental details
- mouse testis tissue were subjected to SDS PAGE followed by western blot with 20780-1-AP(C11orf70 antibody) at dilution of 1:400
- Sample type
- tissue
Supportive validation
- Submitted by
- Proteintech Group (provider)
- Main image

- Experimental details
- Immunofluorescent analysis of Hela cells, using C11orf70 antibody 20780-1-AP at 1:25 dilution and Rhodamine-labeled goat anti-rabbit IgG (red).
- Sample type
- cell line
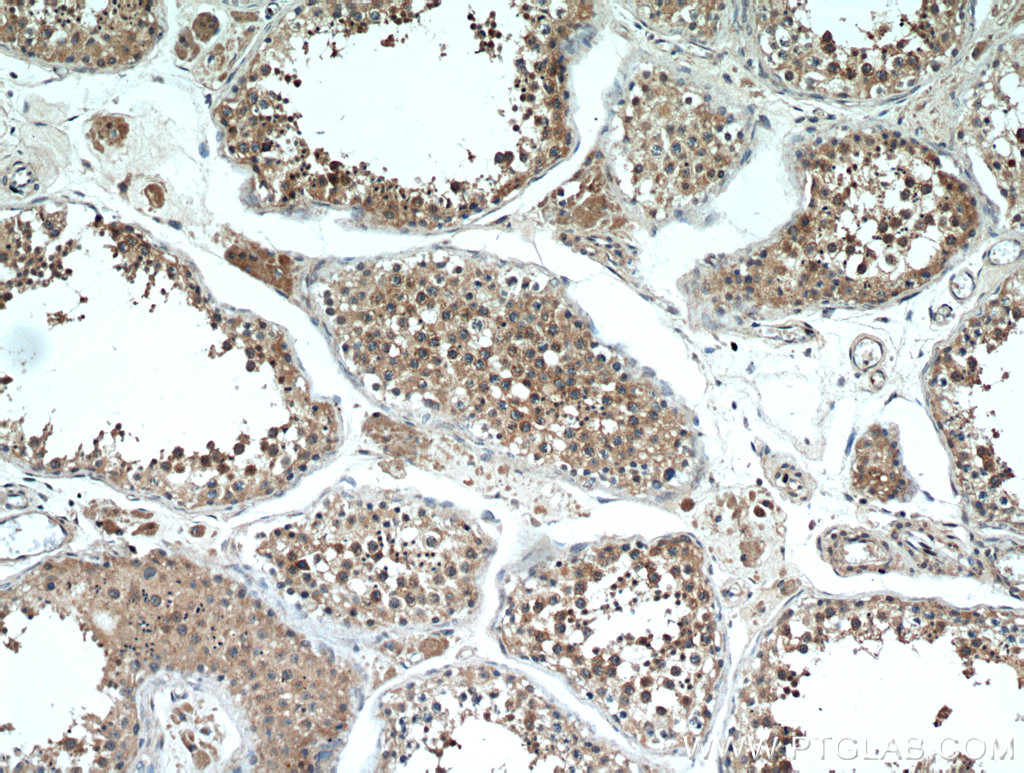
Supportive validation
- Submitted by
- Proteintech Group (provider)
- Main image

- Experimental details
- Immunohistochemical of paraffin-embedded human testis using 20780-1-AP(C11orf70 antibody) at dilution of 1:50 (under 10x lens)
- Sample type
- tissue
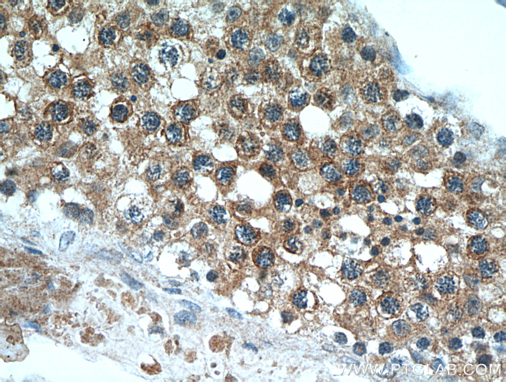
- Submitted by
- Proteintech Group (provider)
- Main image

- Experimental details
- Immunohistochemical of paraffin-embedded human testis using 20780-1-AP(C11orf70 antibody) at dilution of 1:50 (under 40x lens)
- Sample type
- tissue