Antibody data
- Antibody Data
- Antigen structure
- References [3]
- Comments [0]
- Validations
- Western blot [1]
- ELISA [1]
- Immunohistochemistry [1]
- Flow cytometry [1]
Submit
Validation data
Reference
Comment
Report error
- Product number
- GTX60599 - Provider product page

- Provider
- GeneTex
- Product name
- iNOS antibody [4E5]
- Antibody type
- Monoclonal
- Reactivity
- Human, Mouse, Rat
- Host
- Mouse
Submitted references Mesenchymal stem cells attenuate sepsis-induced liver injury via inhibiting M1 polarization of Kupffer cells.
Inhibition of chronic prostate inflammation by hyaluronic acid through an immortalized human prostate stromal cell line model.
Effect of magnesium sulfate on renal ischemia-reperfusion injury in streptozotocin-induced diabetic rats.
Liang X, Li T, Zhou Q, Pi S, Li Y, Chen X, Weng Z, Li H, Zhao Y, Wang H, Chen Y
Molecular and cellular biochemistry 2019 Feb;452(1-2):187-197
Molecular and cellular biochemistry 2019 Feb;452(1-2):187-197
Inhibition of chronic prostate inflammation by hyaluronic acid through an immortalized human prostate stromal cell line model.
Liu MC, Chen WH, Chiou CS, Lo WC, Dubey NK, Chen YC, Lai WT, Yeh SD, Chiang HS, Deng WP
PloS one 2017;12(5):e0178152
PloS one 2017;12(5):e0178152
Effect of magnesium sulfate on renal ischemia-reperfusion injury in streptozotocin-induced diabetic rats.
Akan M, Ozbilgin S, Boztas N, Celik A, Ozkardesler S, Ergur BU, Guneli E, Sisman AR, Akokay P, Meseri R
European review for medical and pharmacological sciences 2016 Apr;20(8):1642-55
European review for medical and pharmacological sciences 2016 Apr;20(8):1642-55
No comments: Submit comment
Supportive validation
- Submitted by
- GeneTex (provider)
- Main image

- Experimental details
- Western blot analysis using NOS2 mouse mAb against Jurkat (1), Jurkat (2), A549 (3), HeLa (4), NIH3T3 (5)and MCF-7 (6) cell lysate.
Supportive validation
- Submitted by
- GeneTex (provider)
- Main image

- Experimental details
- Red: Control Antigen (100ng); Purple: Antigen (10ng); Green: Antigen (50ng); Blue: Antigen (100ng);
Supportive validation
- Submitted by
- GeneTex (provider)
- Main image

- Experimental details
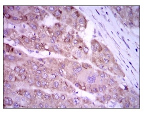
- Immunohistochemical analysis of paraffin-embedded liver cancer tissues using NOS2 mouse mAb with DAB staining.
Supportive validation
- Submitted by
- GeneTex (provider)
- Main image

- Experimental details
- Flow cytometric analysis of MCF-7 cells using NOS2 mouse mAb (green) and negative control (red).