Antibody data
- Antibody Data
- Antigen structure
- References [0]
- Comments [0]
- Validations
- Western blot [2]
- Immunohistochemistry [1]
- Flow cytometry [1]
Submit
Validation data
Reference
Comment
Report error
- Product number
- GTX80527 - Provider product page

- Provider
- GeneTex
- Proper citation
- GeneTex Cat#GTX80527, RRID:AB_11176150
- Product name
- COX6A1 antibody, Internal
- Antibody type
- Polyclonal
- Reactivity
- Human
- Host
- Rabbit
No comments: Submit comment
Supportive validation
- Submitted by
- GeneTex (provider)
- Main image

- Experimental details
- Western blot analysis of COX6A1 Antibody (Center) (GTX80527) in MDA-MB435 cell line lysates (35ug/lane). COX6A1 (arrow) was detected using the purified Pab.
- Validation comment
- WB
- Submitted by
- GeneTex (provider)
- Main image

- Experimental details
- Western blot analysis of COX6A1 (arrow) using rabbit polyclonal COX6A1 Antibody (Center) (GTX80527). 293 cell lysates (2 ug/lane) either nontransfected (Lane 1) or transiently transfected (Lane 2) with the COX6A1 gene.
- Validation comment
- WB
Supportive validation
- Submitted by
- GeneTex (provider)
- Main image

- Experimental details
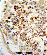
- Formalin-fixed and paraffin-embedded human testis tissue reacted with COX6A1 Antibody (Center) (GTX80527), which was peroxidase-conjμgated to the secondary antibody, followed by DAB staining. This data demonstrates the use of this antibody for immunohistochemistry.
Supportive validation
- Submitted by
- GeneTex (provider)
- Main image

- Experimental details
- COX6A1 Antibody (Center) (GTX80527) FC analysis of ZR-75-1 cells (bottom histogram) compared to a negative control cell (top histogram). FITC-conjμgated goat-anti-rabbit secondary antibodies were used for the analysis.