Antibody data
- Antibody Data
- Antigen structure
- References [0]
- Comments [0]
- Validations
- Immunohistochemistry [2]
Submit
Validation data
Reference
Comment
Report error
- Product number
- PA5-113204 - Provider product page

- Provider
- Invitrogen Antibodies
- Product name
- ELMOD1 Polyclonal Antibody
- Antibody type
- Polyclonal
- Antigen
- Recombinant full-length protein
- Reactivity
- Human, Mouse
- Host
- Rabbit
- Isotype
- IgG
- Vial size
- 100 μL
- Concentration
- 0.17 mg/mL
- Storage
- -20°C or -80°C if preferred
No comments: Submit comment
Supportive validation
- Submitted by
- Invitrogen Antibodies (provider)
- Main image

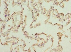
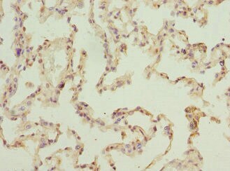
- Experimental details
- Immunocytochemical analysis of paraffin-embeded ELMOD1 in human lung tissue using a ELMOD1 Polyclonal antibody (Product # PA5-113204) at a dilution of 1:100.
- Submitted by
- Invitrogen Antibodies (provider)
- Main image

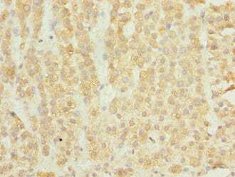
- Experimental details
- Immunocytochemical analysis of paraffin-embeded ELMOD1 in human adrenal gland tissue using a ELMOD1 Polyclonal antibody (Product # PA5-113204) at a dilution of 1:100.