Antibody data
- Antibody Data
- Antigen structure
- References [1]
- Comments [0]
- Validations
- Western blot [1]
- Immunohistochemistry [1]
Submit
Validation data
Reference
Comment
Report error
- Product number
- sc-8424 - Provider product page

- Provider
- Santa Cruz Biotechnology
- Proper citation
- Santa Cruz Biotechnology Cat#sc-8424, RRID:AB_626778
- Product name
- Anti-CDH2
- Antibody type
- Monoclonal
- Reactivity
- Human
- Host
- Mouse
Submitted references Directed neural differentiation of human embryonic stem cells via an obligated primitive anterior stage.
Pankratz MT, Li XJ, Lavaute TM, Lyons EA, Chen X, Zhang SC
Stem cells (Dayton, Ohio) 2007 Jun;25(6):1511-20
Stem cells (Dayton, Ohio) 2007 Jun;25(6):1511-20
No comments: Submit comment
Supportive validation
- Submitted by
- per
- Main image

- Experimental details
- Western blot analysis of antibody specificity using a routine panel composed of IgG/HSA-depleted human plasma and protein lysates from selected human tissues and cell lines.
- Validation comment
- No bands detected.
- Primary Ab dilution
- 1:500
- Secondary Ab dilution
- 1:7000
- Lane 1
- Marker [kDa]: 250, 130, 95, 72, 55, 36, 28, 17, 11
- Lane 2
- RT-4
- Lane 3
- U-251MG sp
- Lane 4
- Human Plasma
- Lane 5
- Liver
- Lane 6
- Tonsil
- Theoretical target weight
- [kDa] 97
Supportive validation
- Submitted by
- per
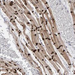
- Main image

- Experimental details
- Immunohistochemical staining of human heart muscle shows strong membranous positivity in myocytes.
- Validation comment
- Two independent antibodies targeting one protein yielding similar staining patterns. Staining pattern consistent with experimental and/or bioinformatic data.