Antibody data
- Antibody Data
- Antigen structure
- References [0]
- Comments [0]
- Validations
- Western blot [3]
- Immunocytochemistry [2]
- Immunohistochemistry [3]
- Flow cytometry [2]
Submit
Validation data
Reference
Comment
Report error
- Product number
- R31646 - Provider product page

- Provider
- NSJ Bioreagents
- Product name
- Transferrin Receptor Antibody
- Antibody type
- Polyclonal
- Description
- This highly specific Transferrin Receptor antibody is suitable for use in Western blot/Immunohistochemistry/Immunohistochemistry/Immunofluorescence/Flow cytometry applications with human samples.
- Reactivity
- Human
- Host
- Rabbit
- Conjugate
- Unconjugated
- Vial size
- 100 ug
- Concentration
- 0.5mg/ml if reconstituted with 0.2ml sterile DI water
- Storage
- After reconstitution, the Transferrin Receptor antibody can be stored for up to one month at 4oC. For long-term, aliquot and store at -20oC. Avoid repeated freezing and thawing.
No comments: Submit comment
Supportive validation
- Submitted by
- NSJ Bioreagents (provider)
- Main image

- Experimental details
- Western blot testing of Transferrin Receptor antibody and Lane 1: HeLa; 2: Jurkat; 3: Raji; 4: HL-60; 5: K562; 6: HEPG2; 7: human placenta; 8: CEM lysate. Predicted molecular weight 85~100 kDa
- Submitted by
- NSJ Bioreagents (provider)
- Main image

- Experimental details
- Western blot testing of Transferrin Receptor antibody and recombinant human protein (0.5ng)
- Submitted by
- NSJ Bioreagents (provider)
- Main image

- Experimental details
- Western blot testing of 1) human HeLa, 2) human K562, 3) human HT1080, 4) rat thymus, 5) mouse RAW264.7 and 6) mouse SP2/0 cell lysate with Transferrin Receptor antibody. Predicted molecular weight 85~95 kDa.
Supportive validation
- Submitted by
- NSJ Bioreagents (provider)
- Main image

- Experimental details
- Immunofluorescent staining of FFPE human A431 cells with Transferrin Receptor antibody (red) and DAPI nuclear stain (blue). HIER: boil tissue sections in pH6, 10mM citrate buffer, for 20 min and allow to cool before testing.
- Submitted by
- NSJ Bioreagents (provider)
- Main image

- Experimental details
- Immunofluorescent staining of FFPE human placental tissue with Transferrin Receptor antibody (red) and DAPI nuclear stain (blue). HIER: boil tissue sections in pH8 EDTA buffer for 20 min and allow to cool before testing.
Supportive validation
- Submitted by
- NSJ Bioreagents (provider)
- Main image

- Experimental details
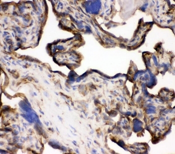
- IHC-P: Transferrin Receptor antibody testing of human placenta tissue
- Submitted by
- NSJ Bioreagents (provider)
- Main image

- Experimental details
- IHC-P: Transferrin Receptor antibody testing of human placenta tissue
- Submitted by
- NSJ Bioreagents (provider)
- Main image

- Experimental details
- IHC staining of frozen human placenta with Transferrin Receptor antibody. HIER: boil tissue sections in pH6, 10mM citrate buffer, for 20 min and allow to cool before testing.
Supportive validation
- Submitted by
- NSJ Bioreagents (provider)
- Main image

- Experimental details
- Flow cytometry testing of human SiHa cells with Transferrin Receptor antibody at 1ug/million cells (blocked with goat sera); Red=cells alone, Green=isotype control, Blue= Transferrin Receptor antibody.
- Submitted by
- NSJ Bioreagents (provider)
- Main image

- Experimental details
- Flow cytometry testing of human U-87 MG cells with Transferrin Receptor antibody at 1ug/million cells (blocked with goat sera); Red=cells alone, Green=isotype control, Blue= Transferrin Receptor antibody.