Antibody data
- Antibody Data
- Antigen structure
- References [0]
- Comments [0]
- Validations
- Western blot [1]
- Immunocytochemistry [2]
- Immunohistochemistry [6]
- Other assay [1]
Submit
Validation data
Reference
Comment
Report error
- Product number
- UM500024CF - Provider product page

- Provider
- Invitrogen Antibodies
- Product name
- S100P Monoclonal Antibody (UMAB24), UltraMAB™
- Antibody type
- Monoclonal
- Antigen
- Recombinant full-length protein
- Reactivity
- Human
- Host
- Mouse
- Isotype
- IgG
- Antibody clone number
- UMAB24
- Vial size
- 100 µg
- Concentration
- 1 mg/mL
- Storage
- -20° C, Avoid Freeze/Thaw Cycles
No comments: Submit comment
Supportive validation
- Submitted by
- Invitrogen Antibodies (provider)
- Main image

- Experimental details
- Equivalent amounts of cell lysates (10 µg per lane) of wild-type HeLa cells (WT, Cat# LC810HELA) and S100P-Knockout HeLa cells (KO, Cat# LC810436) were separated by SDS-PAGE and immunoblotted with anti-S100P monoclonal antibody UM500024(1:100`). Then the blotted membrane was stripped and reprobed with anti-PCNA antibody as a loading control.
Supportive validation
- Submitted by
- Invitrogen Antibodies (provider)
- Main image

- Experimental details
- Immunofluorescent staining of HeLa cells using anti-S100P mouse monoclonal antibody (UM500024, green, 1:50). Actin filaments were labeled with Alexa Fluor 594 Phalloidin (red), and nuclear with DAPI (blue).
- Submitted by
- Invitrogen Antibodies (provider)
- Main image

- Experimental details
- Immunofluorescent staining of HeLa cells using anti-S100P mouse monoclonal antibody (UM500024, green, 1:50). Actin filaments were labeled with Alexa Fluor 594 Phalloidin (red), and nuclear with DAPI (blue).
Supportive validation
- Submitted by
- Invitrogen Antibodies (provider)
- Main image

- Experimental details
- Immunohistochemical staining of paraffin-embedded human colon cancer using anti-S100P clone UMAB24 mouse monoclonal antibody @ 2 µg/mL with Polink2 Broad HRP DAB detection kit; heat-induced epitope retrieval with Citrate pH6.0
- Submitted by
- Invitrogen Antibodies (provider)
- Main image

- Experimental details
- Immunohistochemical staining of paraffin-embedded human placenta using anti-S100P clone UMAB24 mouse monoclonal antibody @ 2 µg/mL with Polink2 Broad HRP DAB detection kit; heat-induced epitope retrieval with Citrate pH6.1
- Submitted by
- Invitrogen Antibodies (provider)
- Main image

- Experimental details
- Immunohistochemical staining of paraffin-embedded human liver cancer using anti-S100P clone UMAB24 mouse monoclonal antibody (UM500024) at 1:200 with Polink2 Broad HRP DAB detection kit; heat-induced epitope retrieval with GBI Accel pH8.7 HIER buffer using pressure chamber for 3 minutes at 110°C. Nuclear, cytoplasmic, and membrane staining is seen in infiltrating lymphacytes and no staining is tumor cells.
- Submitted by
- Invitrogen Antibodies (provider)
- Main image

- Experimental details
- Immunohistochemical staining of paraffin-embedded human gastric cancer using anti-S100P clone UMAB24 mouse monoclonal antibody (UM500024) at 1:200 with Polink2 Broad HRP DAB detection kit; heat-induced epitope retrieval with GBI Accel pH8.7 HIER buffer using pressure chamber for 3 minutes at 110°C. Nuclear and cytoplasmic staining is seen in tumor cells.
- Submitted by
- Invitrogen Antibodies (provider)
- Main image

- Experimental details
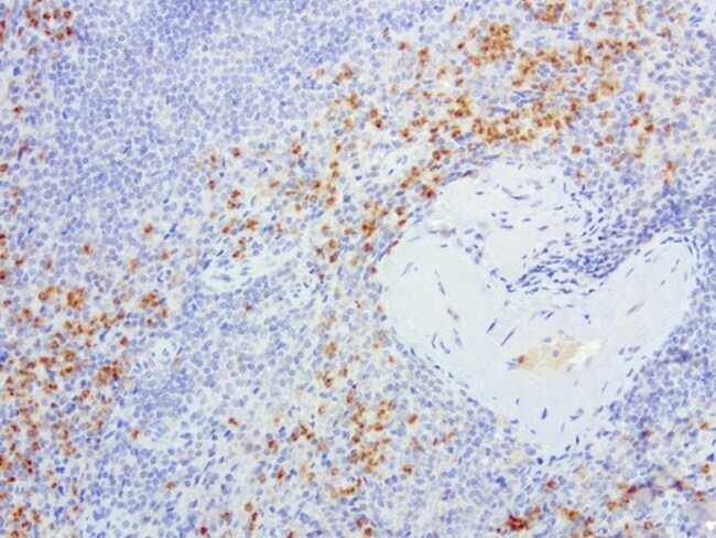
- Immunohistochemical staining of paraffin-embedded human spleen using anti-S100P clone UMAB24 mouse monoclonal antibody (UM500024) at 1:200 with Polink2 Broad HRP DAB detection kit; heat-induced epitope retrieval with GBI Accel pH8.7 HIER buffer using pressure chamber for 3 minutes at 110°C. Nuclear and cytoplasmic staining is seen in red pulp cells.
- Submitted by
- Invitrogen Antibodies (provider)
- Main image

- Experimental details
- Immunohistochemical staining of paraffin-embedded Carcinoma of bladder tissue using anti-S100Pmouse monoclonal antibody. (Clone UMAB24, dilution 1:100; heat-induced epitope retrieval by 10mM citric buffer, pH6.0, 120°C for 3min)
Supportive validation
- Submitted by
- Invitrogen Antibodies (provider)
- Main image

- Experimental details
- OriGene overexpression protein microarray chip was immunostained with UltraMAB anti-S100P mouse monoclonal antibody (Clone UMAB24). The positive reactive proteins are highlighted with two red arrows in the enlarged subarray. All the positive controls spotted in this subarray are also labeled for clarification. These data show that UltraMAB anti-S100P (Clone UMAB24) very specifically recognizes S100P antigen on OriGene protein microarray chip.