Antibody data
- Antibody Data
- Antigen structure
- References [2]
- Comments [0]
- Validations
- Western blot [1]
- Immunohistochemistry [2]
Submit
Validation data
Reference
Comment
Report error
- Product number
- 17068-1-AP - Provider product page

- Provider
- Proteintech Group
- Proper citation
- Proteintech Cat#17068-1-AP, RRID:AB_2201875
- Product name
- TEX12 antibody
- Antibody type
- Polyclonal
- Description
- TEX12 antibody (Cat. #17068-1-AP) is a rabbit polyclonal antibody that shows reactivity with human, mouse, rat and has been validated for the following applications: IHC,ELISA.
- Reactivity
- Human, Mouse, Rat
- Host
- Rabbit
- Conjugate
- Unconjugated
- Isotype
- IgG
- Vial size
- 20ul, 150ul
Submitted references Deficiency of cancer/testis antigen gene CT55 causes male infertility in humans and mice.
The histone modification reader ZCWPW1 is required for meiosis prophase I in male but not in female mice.
Zhang G, Jiang C, Yang Y, Wang Y, Zhou H, Dai S, Liu M, Yang Y, Yang L, Shen Q, Zhang T, Zhang X, Yang Y, Shen Y
Cell death and differentiation 2023 Feb;30(2):500-514
Cell death and differentiation 2023 Feb;30(2):500-514
The histone modification reader ZCWPW1 is required for meiosis prophase I in male but not in female mice.
Li M, Huang T, Li MJ, Zhang CX, Yu XC, Yin YY, Liu C, Wang X, Feng HW, Zhang T, Liu MF, Han CS, Lu G, Li W, Ma JL, Chen ZJ, Liu HB, Liu K
Science advances 2019 Aug;5(8):eaax1101
Science advances 2019 Aug;5(8):eaax1101
No comments: Submit comment
Supportive validation
- Submitted by
- Proteintech Group (provider)
- Main image

- Experimental details
- mouse testis tissue were subjected to SDS PAGE followed by western blot with 17068-1-AP(TEX12 antibody) at dilution of 1:400
- Sample type
- tissue
Supportive validation
- Submitted by
- Proteintech Group (provider)
- Main image

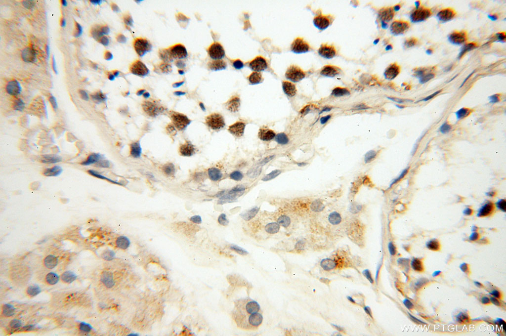
- Experimental details
- Immunohistochemical of paraffin-embedded human testis using 17068-1-AP(TEX12 antibody) at dilution of 1:100 (under 10x lens)
- Sample type
- tissue
- Submitted by
- Proteintech Group (provider)
- Main image

- Experimental details
- The TEX12 antibody from Proteintech is a rabbit polyclonal antibody to a recombinant protein of human TEX12. This antibody recognizes human,mouse,rat antigen. The TEX12 antibody has been validated for the following applications: ELISA, IHC, WB analysis.