PA5-58970
antibody from Invitrogen Antibodies
Targeting: TCTN2
C12orf38, FLJ12975, JBTS24, MKS8, TECT2
Antibody data
- Antibody Data
- Antigen structure
- References [0]
- Comments [0]
- Validations
- Western blot [1]
- Immunocytochemistry [2]
- Immunohistochemistry [4]
Submit
Validation data
Reference
Comment
Report error
- Product number
- PA5-58970 - Provider product page
- Provider
- Invitrogen Antibodies
- Product name
- TCTN2 Polyclonal Antibody
- Antibody type
- Polyclonal
- Antigen
- Recombinant protein fragment
- Description
- Immunogen sequence: LGGIVTPKVI YEEATDLDKF ITNTETPLNN GSTPRIVNVE EHYIFKWNNN TISEINVKIF RAEINAHQKG IMTQRFVVKF LSYNSGNEEE LSGNPGYQL Highest antigen sequence identity to the following orthologs: Mouse - 24%, Rat - 69%.
- Reactivity
- Human
- Host
- Rabbit
- Isotype
- IgG
- Vial size
- 100 µL
- Concentration
- 0.1 mg/mL
- Storage
- Store at 4°C short term. For long term storage, store at -20°C, avoiding freeze/thaw cycles.
No comments: Submit comment
Supportive validation
- Submitted by
- Invitrogen Antibodies (provider)
- Main image
- Experimental details
- Western blot analysis of TCTN2 in control (vector only transfected HEK293T lysate) and TCTN2 over-expression lysate (Co-expressed with a C-terminal myc-DDK tag (~3.1 kDa) in mammalian HEK293T cells). Samples were probed using a TCTN2 Polyclonal Antibody (Product # PA5-58970).
Supportive validation
- Submitted by
- Invitrogen Antibodies (provider)
- Main image
- Experimental details
- Immunofluorescent staining of TCTN2 in human cell line A-431 shows positivity in the Golgi apparatus. Samples were probed using a TCTN2 Polyclonal Antibody (Product # PA5-58970).
- Submitted by
- Invitrogen Antibodies (provider)
- Main image
- Experimental details
- Immunofluorecent analysis of TCTN2 in human cell line A-431 using TCTN2 Polyclonal Antibody (Product # PA5-58970). Staining shows localization to the Golgi apparatus.
Supportive validation
- Submitted by
- Invitrogen Antibodies (provider)
- Main image
- Experimental details
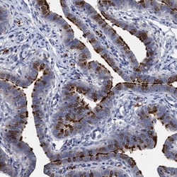
- Immunohistochemical analysis of TCTN2 in human fallopian tube using TCTN2 Polyclonal Antibody (Product # PA5-58970) shows high expression.
- Submitted by
- Invitrogen Antibodies (provider)
- Main image
- Experimental details
- Immunohistochemical staining of TCTN2 in human fallopian tube and skeletal muscle tissues using TCTN2 Polyclonal Antibody (Product # PA5-58970). Corresponding TCTN2 RNA-seq data are presented for the same tissues.
- Submitted by
- Invitrogen Antibodies (provider)
- Main image
- Experimental details
- Immunohistochemical staining of TCTN2 in human skeletal muscle using TCTN2 Polyclonal Antibody (Product # PA5-58970) shows low expression as expected.
- Submitted by
- Invitrogen Antibodies (provider)
- Main image
- Experimental details
- Immunohistochemical staining of TCTN2 in human fallopian tube and skeletal muscle tissues using TCTN2 Polyclonal Antibody (Product # PA5-58970). Corresponding TCTN2 RNA-seq data are presented for the same tissues.