Antibody data
- Antibody Data
- Antigen structure
- References [0]
- Comments [0]
- Validations
- Western blot [2]
- Immunohistochemistry [4]
- Protein array [1]
- Other assay [2]
Submit
Validation data
Reference
Comment
Report error
- Product number
- V3934 - Provider product page

- Provider
- NSJ Bioreagents
- Product name
- Ubiquitin Antibody
- Antibody type
- Monoclonal
- Description
- This highly specific Ubiquitin antibody is suitable for use in ELISA/Western blot/Immunohistochemistry applications with human samples.
- Reactivity
- Human
- Host
- Mouse
- Conjugate
- Unconjugated
- Antibody clone number
- UBB/2122
- Vial size
- 20 ug (with BSA and sodium azide), 100 ug (with BSA and sodium azide), 100 ug (without BSA or sodium azide), 7 ml IHC only format (if applicable)
- Concentration
- 0.2 mg/ml, 1 mg/ml
- Storage
- Store the Ubiquitin antibody at 2-8oC (with azide) or aliquot and store at -20oC or colder (without azide).
No comments: Submit comment
Supportive validation
- Submitted by
- NSJ Bioreagents (provider)
- Main image

- Experimental details
- Western blot testing of human Raji cell lysate with Ubiquitin antibody (clone UBB/2122). Expected molecular weight ~9 kDa.
- Submitted by
- NSJ Bioreagents (provider)
- Main image

- Experimental details
- Western blot testing of human HeLa cell lysate with Ubiquitin antibody (clone UBB/2122). Expected molecular weight ~9 kDa.
Supportive validation
- Submitted by
- NSJ Bioreagents (provider)
- Main image

- Experimental details
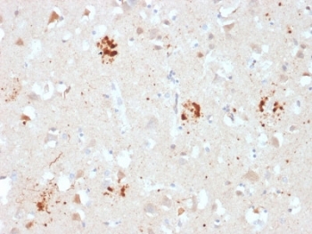
- IHC staining of FFPE human brain with Ubiquitin antibody (clone UBB/2122). Required HIER: boil tissue sections in 10mM citrate buffer, pH 6, for 10-20 min followed by cooling at RT for 20 min.
- Submitted by
- NSJ Bioreagents (provider)
- Main image

- Experimental details
- IHC staining of FFPE human brain with Ubiquitin antibody (clone UBB/2122). Required HIER: boil tissue sections in 10mM citrate buffer, pH 6, for 10-20 min followed by cooling at RT for 20 min.
- Submitted by
- NSJ Bioreagents (provider)
- Main image

- Experimental details
- IHC staining of FFPE human brain with Ubiquitin antibody (clone UBB/2122). Required HIER: boil tissue sections in pH 9 10mM Tris with 1mM EDTA for 10-20 min followed by cooling at RT for 20 min.
- Submitted by
- NSJ Bioreagents (provider)
- Main image

- Experimental details
- IHC staining of FFPE human brain with Ubiquitin antibody (clone UBB/2122). Required HIER: boil tissue sections in pH 9 10mM Tris with 1mM EDTA for 10-20 min followed by cooling at RT for 20 min.
Supportive validation
- Submitted by
- NSJ Bioreagents (provider)
- Main image

- Experimental details
- Analysis of HuProt(TM) microarray containing more than 19,000 full-length human proteins using Ubiquitin antibody (clone UBB/2122). These results demonstrate the foremost specificity of the UBB/2122 mAb.Z- and S- score: The Z-score represents the strength of a signal that an antibody (in combination with a fluorescently-tagged anti-IgG secondary Ab) produces when binding to a particular protein on the HuProt(TM) array. Z-scores are described in units of standard deviations (SD's) above the mean value of all signals generated on that array. If the targets on the HuProt(TM) are arranged in descending order of the Z-score, the S-score is the difference (also in units of SD's) between the Z-scores. The S-score therefore represents the relative target specificity of an Ab to its intended target.
Supportive validation
- Submitted by
- NSJ Bioreagents (provider)
- Main image

- Experimental details
- SDS-PAGE analysis of purified, BSA-free Ubiquitin antibody (clone UBB/2122) as confirmation of integrity and purity.
- Submitted by
- NSJ Bioreagents (provider)
- Main image

- Experimental details
- SDS-PAGE analysis of purified, BSA-free Ubiquitin antibody (clone UBB/2122) as confirmation of integrity and purity.