67420-1-IG
antibody from Invitrogen Antibodies
Targeting: RBM39
CAPER, CAPERalpha, CC1.3, fSAP59, HCC1, RNPC2
Antibody data
- Antibody Data
- Antigen structure
- References [0]
- Comments [0]
- Validations
- Western blot [1]
- Immunocytochemistry [1]
- Immunohistochemistry [1]
Submit
Validation data
Reference
Comment
Report error
- Product number
- 67420-1-IG - Provider product page

- Provider
- Invitrogen Antibodies
- Product name
- RBM39 Monoclonal Antibody (2D2C8)
- Antibody type
- Monoclonal
- Antigen
- Other
- Reactivity
- Human, Mouse, Rat
- Host
- Mouse
- Isotype
- IgG
- Antibody clone number
- 2D2C8
- Vial size
- 150 µL
- Concentration
- 1000 µg/mL
- Storage
- -20°C
No comments: Submit comment
Supportive validation
- Submitted by
- Invitrogen Antibodies (provider)
- Main image

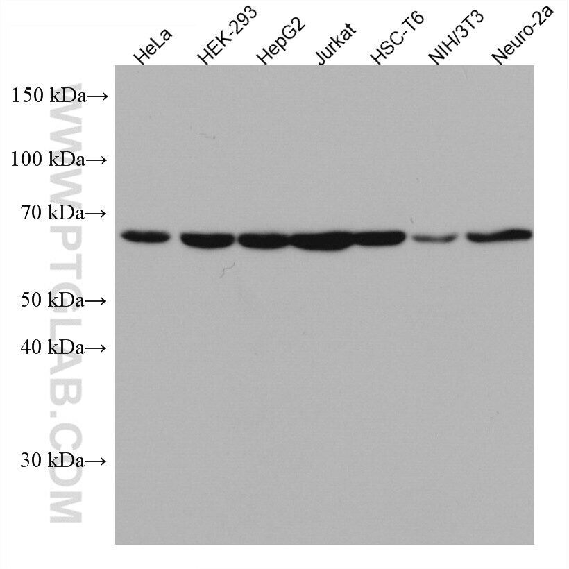
- Experimental details
- Various lysates were subjected to SDS PAGE followed by western blot with 67420-1-Ig (RBM39 antibody) at dilution of 1:2500 incubated at room temperature for 1.5 hours.
Supportive validation
- Submitted by
- Invitrogen Antibodies (provider)
- Main image

- Experimental details
- Immunofluorescent analysis of (-20°C Ethanol) fixed HepG2 cells using 67420-1-Ig (RBM39 antibody), at dilution of 1:200 and CoraLite®488-Conjugated AffiniPure Goat Anti-Mouse IgG(H+L).
Supportive validation
- Submitted by
- Invitrogen Antibodies (provider)
- Main image

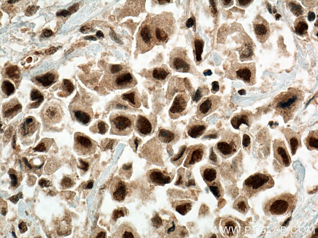
- Experimental details
- Immunohistochemical analysis of paraffin-embedded human breast cancer tissue slide using 67420-1-Ig (RBM39 antibody) at dilution of 1:300 (under 40x lens). Heat mediated antigen retrieval with Tris-EDTA buffer (pH 9.0).