Antibody data
- Antibody Data
- Antigen structure
- References [1]
- Comments [0]
- Validations
- Western blot [2]
- ELISA [1]
- Immunohistochemistry [2]
- Flow cytometry [1]
Submit
Validation data
Reference
Comment
Report error
- Product number
- NBP2-37471 - Provider product page

- Provider
- Novus Biologicals
- Product name
- Mouse Monoclonal INCENP Antibody
- Antibody type
- Monoclonal
- Description
- Protein A or G purified.
- Reactivity
- Human
- Host
- Mouse
- Isotype
- IgG
- Vial size
- 0.1 ml
- Concentration
- 1 mg/ml
- Storage
- Store at 4C short term. Aliquot and store at -20C long term. Avoid freeze-thaw cycles.
Submitted references Kinase inhibition profiles as a tool to identify kinases for specific phosphorylation sites.
Watson NA, Cartwright TN, Lawless C, Cámara-Donoso M, Sen O, Sako K, Hirota T, Kimura H, Higgins JMG
Nature communications 2020 Apr 3;11(1):1684
Nature communications 2020 Apr 3;11(1):1684
No comments: Submit comment
Supportive validation
- Submitted by
- Novus Biologicals (provider)
- Main image

- Experimental details
- Western Blot: INCENP Antibody (3D2) [NBP2-37471] - Analysis using INCENP mAb against human INCENP recombinant protein. (Expected MW is 50.2 kDa)
- Submitted by
- Novus Biologicals (provider)
- Main image

- Experimental details
- Western Blot: INCENP Antibody (3D2) [NBP2-37471] - Analysis using INCENP mAb against HEK293 (1) and INCENP (AA: 369-583)-hIgGFc transfected HEK293 (2) cell lysate.
Supportive validation
- Submitted by
- Novus Biologicals (provider)
- Main image

- Experimental details
- ELISA: INCENP Antibody (3D2) [NBP2-37471] - Red: Control Antigen (100ng); Purple: Antigen (10ng); Green: Antigen (50ng); Blue: Antigen (100ng);
Supportive validation
- Submitted by
- Novus Biologicals (provider)
- Main image

- Experimental details
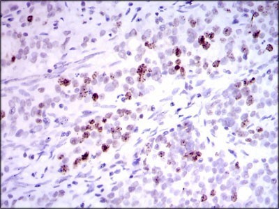
- Immunohistochemistry-Paraffin: INCENP Antibody (3D2) [NBP2-37471] - Analysis of cervical cancer tissues using INCENP mouse mAb with DAB staining.
- Submitted by
- Novus Biologicals (provider)
- Main image

- Experimental details
- Immunohistochemistry-Paraffin: INCENP Antibody (3D2) [NBP2-37471] - Analysis of rectum cancer tissues using INCENP mouse mAb with DAB staining.
Supportive validation
- Submitted by
- Novus Biologicals (provider)
- Main image

- Experimental details
- Flow Cytometry: INCENP Antibody (3D2) [NBP2-37471] - Analysis of Jurkat cells using INCENP mouse mAb (green) and negative control (red).