Antibody data
- Antibody Data
- Antigen structure
- References [0]
- Comments [0]
- Validations
- Immunohistochemistry [1]
Submit
Validation data
Reference
Comment
Report error
- Product number
- RZ1173 - Provider product page

- Provider
- NSJ Bioreagents
- Product name
- Zebrafish Grin1 Antibody / Grin1a / Grin1b / Nmdar1.1
- Antibody type
- Polyclonal
- Description
- Antigen affinity purified
- Reactivity
- Zebrafish
- Host
- Rabbit
- Vial size
- 100 ug
- Concentration
- Lyophilized
- Storage
- After reconstitution, the Zebrafish Grin1 antibody can be stored for up to one month at 4oC. For long-term, aliquot and store at -20oC. Avoid repeated freezing and thawing.
No comments: Submit comment
Supportive validation
- Submitted by
- NSJ Bioreagents (provider)
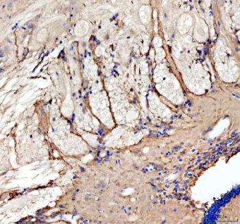
- Main image

- Experimental details
- Immunohistochemical analysis of Grin1a/b protein using Zebrafish Grin1 antibody and paraffin-embedded zebrafish brain tissue. HIER: boil tissue sections in pH8 EDTA for 20 min and allow to cool before testing.